JBCS



12:19, sáb out 25

Acesso Aberto/TP



Artigo

Effect of mercury exposure on U1-70 kDa protein expression in embryos of black bean (Phaseolus vulgaris L.)

Claudia Y. Michel-LópezI,*; Lucía Delgadillo-RuízII; Francisco J. Cabral-ArellanoII; Edgar Esparza-IbarraII; Rodrigo Flores-GarivayI

I. Instituto de Ciencias Agrícolas, Universidad Autónoma de Baja California, 21705, Mexicali, Baja California, México
II. Unidad Académica de Ciencias Biológicas, Universidad Autónoma de Zacatecas, 98068, Zacatecas, Zacatecas, México

Recebido em: 14/01/2022
Aceito em: 04/02/2022
Publicado em: 24/03/2022

Endereço para correspondência

*e-mail: michelc@uabc.edu.mx

RESUMO

Exposure to heavy metals has been documented to induce changes in the expression of plant proteins. Phaseolus vulgaris L., represents a great source of nutrition for millions of people, and is the second most important legume crop. The present study aimed to investigate the effects of Hg stress on germination rate and identify the gene expression profiling of U1-70 kDa by using SDS-PAGE analysis. Seeds of black beans (P. vulgaris L.) variety Jamapa were used. The study was performed in the municipality of Guadalupe in Zacatecas, México; August 2009 to 2011. Embryos were exposed to 10 µmol L-1 HgCl2. Expression and detection of U1-70 kDa was affected by mercury. It was possible to amplify the cDNA for U1-70 kDa in all tested samples, there were also found variations in the mRNA of embryos bean seeds for western blot analysis. Mercury does not affect the germination of bean seeds P. vulgaris L.; there is variation in the expression of the U1-70 kDa protein at different hours of exposure to 10 µmol L-1 of mercury. The presence of U1-70 kDa is identified for the first time in early stages of germination of bean seeds P. vulgaris L.

Palavras-chave: heavy metals; phytoremediation; expression; U1-70 kDa.

INTRODUCTION

One of the most significant biosphere contamination problems worldwide is derived from HM (heavy metals). The contamination of natural ecosystems by heavy metals represents a worldwide environmental concern, endangering agricultural systems. The concentration of heavy metals in the soil, due to excessive usage of agricultural amendments, fast urbanization and industrialization is a problem affecting a large area.1,2

Heavy metals like mercury, are not degraded through chemical and physical weathering, their concentrations are increased through time, altering soil properties and minimizing the availability of nutrients for biological activities. Mercury is ranked third by the US Government Agency for Toxic Substances and Disease Registry of the most toxic elements or substances on the planet.3,4 Is ubiquitous in nature and available in three forms; is categorized as a nonessential metal with no biological function but concentration-dependent toxicity.3,5

The effects of toxic substances on plants are dependent on the amount of toxic substance taken up from the given environment. The toxicity of some of the metals may be large enough that plant growth is retarded before large quantities of the element can be translocated. At the cellular level mercury exposure is associated with alterations in membrane permeability, changes in macromolecular structure due to its affinity for sulfhydryl and thiol groups, and DNA damage. Mercury has also been shown to induce oxidative stress and mitochondrial dysfunction which can result in alterations in calcium homeostasis and increased lipid peroxidation. Can be highly reactive and toxic according to their oxidation levels. Their toxic effects are associated with the increased production of reactive oxygen species (ROS) and cellular damage induced in plants.3,6

Phaseolus vulgaris L., represents a great source of nutrition for millions of people, and is the second most important legume crop, after soybean. Common bean is the most important legume in Mexico.7 Beans have great social and economic importance being one of the main sources of proteins, plant derived micronutrients, and minerals for the population. P. vulgaris L. has been reported to be a good accumulator of lead and cadmium among others metals.8

Although the stress protein response appears to be a ubiquitous response found in all cells and tissues studied to date, the specific stress proteins induced are dependent on the toxicant, the magnitude and duration of exposure, and the tissue. The effects of toxic substances on plants are dependent on the amount of toxic substance taken up from the given environment. The toxicity of some of the metals may be large enough that plant growth is retarded before large quantities of the element can be translocated.9

The removal of introns from pre-messenger RNA (premRNA) is a prerequisite for the expression of most eukaryotic genes. Nuclear pre-mRNA splicing is catalyzed by a large dynamic ribonucleoprotein complex, the spliceosome.10 Transcriptomic aims at analyzing the differential gene expression in response to certain conditions vs. a reference condition, for instance under metal-stress vs. absence of metal-stress (control).11

Previous studies of gene expression in plants have focused on the role of transcriptional regulation in response to environmental changes. One of the core missions of ecotoxicology is to understand the mechanisms by which contaminants perturb normal biological performance linking responses at molecular and cellular levels to the whole organism, population and community level effects.11

Many splicing factors are not only components of the spliceosome that participate in pre-mRNA splicing, they can also interact with other proteins to form complexes that regulate different biological processes. Recent research has demonstrated that some plant splicing factors play an important role in transcriptional regulation.12 U1 snRNP is a crucial subcomplex for early spliceosome assembly. In particular, U1-70K functions as a central unit in this snRNP.13 The function of the plant U1 snRNP is not well characterized. However, recent studies show that U1 snRNP is essential for plant development and stress response, but the functions of the U1 snRNP in regulating the transcriptome of plants are largely unknown.14

Above mentioned studies showed that gene and protein regulation occurred at much lower Hg concentration than other parameters, e.g., bioaccumulation or physiological endpoints, and was congruent with effects observed at higher level of organizations.11

Therefore, it is very important to evaluate the effect of mercury using bioassays with seeds of tolerant and non-tolerant plants such as bean plants. In addition, it is necessary due to the lack of existing information regarding its toxicity at the level of the expression of the U1-70 kDa protein gene involved in the recognition of the 5 'splice site for the post-translational process to be carried out of the pre RNAms splicing of which there is not enough information in plants such as beans. The present study aimed to determine the viability of common bean plants P. vulgaris L. as a toxicity bioindicator species and to analyze the changes in U1-70 kDa expression under mercury stress.

 

MATERIALS AND METHODS

Plant materials

Seeds of beans P. vulgaris L. of the commercial variety Jamapa black they were used in the study.

Sample tissue preparation and treatments

The seeds surfaces were sterilized by using 1% sodium hypochlorite for 5 min. After each immersion, the seeds were rinsed three times with demineralized sterile water (3 min per rinse). At the end of the disinfection process, the seeds were rinsed 10 times with demineralized sterile water. In one control the hypochlorite step was omitted.

Germination and mercury treatment

All seeds were treated with solutions of HgCl2 (10 µmol L-1) and a control (distilled ater) for a period of 0, 24, 48, 72, 96, 120 and 144 h. Seeds were placed in Petri dishes with 25 mL and germination took place on a filter paper in a growth chamber. Temperatures in the chamber were 25 ± 2 ºC,15 while relative humidity was 70%. All the trials had three replicates with 20 randomly selected seeds in each. Heavy metal solutions were replaced every third day to keep the concentration of the solutions constant and, also, to provide appropriate moisture for imbibition and germination of the seeds. Germination was determined when approximately 2 mm of the radicle was visible and the cotyledon had emerged from the seed coat.16

Protein extraction of beans

Proteins are extracted from tissues, leaf, root and stem to P. vulgaris L. was carried out as described by Gustavsson et al.,17 Once the different samples were meeting their germination times and exposure to mercury chloride (HgCl2), the embryos were extracted. The amount obtained from each sample was weighed and immersed in liquid nitrogen and suspended at 4 °C with an extraction buffer NET-2 sno (Tris-HCl 500 mmol L-1 pH 7.5, NaCl 140 mmol L-1, Nonidet NP-40 0.5%), debris was removed and the extract collected. Centrifugation of the extract was carried out and the nuclei were responded in a hypotonic buffer for 30 min at 4 °C followed by addition of an extraction buffer (10 mmol L-1 Tris-Cl pH 8.0, 1.5 mol L-1 NaCl, 0.05% NP40) to obtain the NE after centrifugation at 6000 x g for 10 min.18

Determination of total protein content

Total proteins were determined by using the Bradford reagent following the procedure of Micro-Bradford.19 After being vortexed for 3 min, the samples were centrifuged for 10 min at 14000 x g. Quantities of 1 and 5 µL of sample were added adjusting to a volume of 800 µL with 150 mmol L-1 NaCl solution, and 200 µL of Bradford working solution (Bradford Dye Sigma MO) was added to the samples, standards, and the reference blank. A standard curve was made of Bovine Serum Albumine (BSA) and the proteins were spectrophotometrically determined at 595 nm. Each determination was made in triplicate.20

Electrophoresis (SDS-PAGE-)

SDS-PAGE was carried out using the Leamilli method.21 Polyacrylamide gel (12% w/v) was used in the Bio-Rad (Mini-PROTEAN) electrophoresis system at 80 V for 15 min and then 100 V for 140 min and 60 µg of solubilized protein sample was loaded in each lane. Said samples were denatured for 5 min with denaturing buffer (2.5 mL Tris-HCl 0.5 mol L-1 pH 6.8, 1 mL Bis mercaptoethanol 5%, 4.5 mL de H2O destilled, 4 mL SDS 10%, 20 µL of bromophenol blue 1%, 8 mL glycerol 10%). After electrophoresis, the gel was stained with Coomassie Brilliant Blue G-250 solution, with molecular weight estimates made by inclusion of a reference mix of pre-stained molecular weight protein standards.22

Western Blot analysis to U1-70 kDa

Proteins in gels were transferred to nitrocellulose membrane (Pall Corporation, USA). After 1 h of blocking with 5% non-fat milk in TBST (TBS, 0.1%Tween-20), the membrane was incubated with either anti-U1-70 kDa of rabbit againts U1-70 kDa (1:200) of beans as mention in the legends in TBST with 5% milk over night at 4 °C then washed with TBST. The polyclonal antibody was a goat anti rabbit IgG conjugated with peroxidase (Sigma, St. Louis, MO, USA) and used at 1: 10000 (v/v) dilution. Proteins on the membrane were visualized to Logic 100 Imaging System and KODAK Molecular Imaging Software, Versión 4.5; prestained Protein Molecular Weight Range (14,300-200,000 kDa) Gibco Brl (Life Technologies) was used.18

 

RESULTS

Effect of mercury in germination

Phaseolus vulgaris L. seeds exposed to mercury no decreased normal seedling germination percentage as 10 µmol L-1 concentration compared to control experiment. The germination rate of beans was lower than that in control plants, with increasing Hg concentrations however leading to increasing germination rates shown in Figure 1 and 2. The lowest concentration mercury treatment 10 µmol L-1 did not significantly effect the coleoptile growth of P. vulgaris L.

 


Figure 1. Effects of HgCl2 on the germination rates of Phaseolus vulgaris L. Beans seeds were subjected to 10 µmol L-1 solutions. The seeds were washed and germinated in a sprout machine for 144 hours

 

 


Figure 2. Development of Phaseolus vulgaris L. seedlings of the control samples (A) and HgCl2 samples (B) at different germination times and different exposure time: A (24 h); B (48 h); C (72 h); D (96 h); E (120 h) and F (144 h)

 

Expression protein

In previous studies, different protein extraction protocols have been used for different tissues of different species, in order to optimize protocols that facilitate and contribute to obtain better results in less time and that in turn may be applicable to other species.

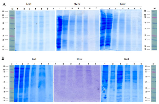
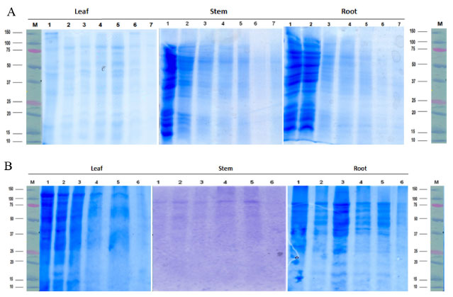
The alteration of the expression of total proteins of germinated embryos of bean P. vulgaris L. of the commercial variety Black Jamapa under mercury stress (10 µmol L-1 HgCl2), was analyzed by SDS-PAGE as illustrated in Figure 3. The separation of proteins by molecular weight by electrophoresis allowed to observe patterns of the expression of the proteins present in the different embryonic tissues (stem, leaf and roots) Figure 4. Beans grown contaminated with Hg were characterized by higher levels of protein when compared with control samples.

 


Figure 3. Electrophoretic profiles of the tissues of the bean seedlings of the control samples (A) and HgCl2 samples (B) at different germination times. Lanes: M-Molecular weight standards; 1 (0 h); 2 (24 h); 3 (48 h); 4 (72 h); 5 (96 h); 6 (120 h); 7 (144 h)

 

 


Figure 4. Concentrations obtained from leaf (A), stem (B) and root (C) extracts of bean seedlings from control samples and those exposed to mercury chloride (HgCl2) at a concentration of 10 µmol L-1 at different germination times (0-144 h)

 

Expression profiling of U1-70 kDa

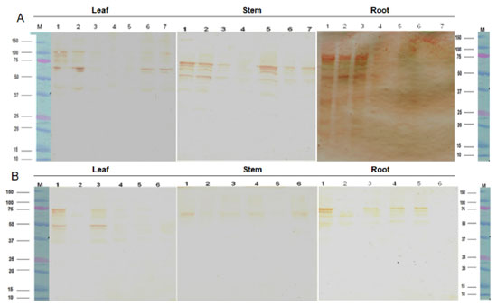
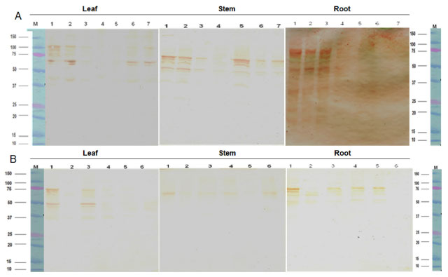
According to western blotting analysis, the recognition of the U1 peptide of 70 kDa, antibodies detected band at position molecular weight predicted Figure 3. According to western blotting analysis, the protein were uniformly expressed in all samples constitutively. The variation in the recognition pattern of the U1-70 kDa peptide in leaf, stem tissues is evident and root at different exposure times. It should be noted that a batch of signal bands was detected at a higher molecular weight (>70 kDa) position, implicating that a protein ubiquitination phenomena might have been detected. The U1-70 kDa protein was expressed at a lower level in the stem compared to control, but at a higher level in other tissues (leaf and root) Figure 3 and 4.

Quantification of densitometric data

The majority of studies of peptide U1-70 kDa in plants have been at the level of the expression of recombinant proteins or mRNA in adult plants. In this study, when plants were subjected to mercury stress, we observed the accumulation of U1-70 kDa Figure 4, 5. These results have shown that U1-70 kDa is conserved in seeds and plays an important function in response to plant stress and its tissue-specific accumulation was observed Figure 6. This could indicate that U1 70 kDa plays an important function most likely during the early stages of seed germination.

 


Figure 5. Western blot analysis of tissues of the bean seedlings of the control samples (A) and HgCl2 samples (B) at different germination times. Lanes: M-Molecular weight standards; 1 (0 h); 2 (24 h); 3 (48 h); 4 (72 h); 5 (96 h); 6 (120 h); 7 (144 h)

 

 


Figure 6. Densitometry of the 70kDa band of the leaf, stem and root extracts of bean seedlings from the simples exposed to mercury chloride (HgCl2) at a concentration of 10 µmol L-1 at different germination times (0-144 hours)

 

 

DISCUSSION

Studies on genotoxic stress are arousing interest as that would augment our understanding the basis of evolution of metal tolerance in plants. Tolerant plants are attracting attention owing to the promise, they offer in crop production as well as in phytoremediation.8

Because a large number of studies on the level of expression of proteins and mRNAs, as well as studies related to heavy metals, have been carried out with adult plants, this research focused on the effect of mercury at non-lethal doses on the expression of U1 70 kDa and its mRNA during the early stages of germination of seeds as tolerance indicators.

The germination of the seeds was exponential in both cases. It should be noted that the seeds were taken as germinated once the appearance of the radicle that could occur immediately after germination was observed.23 On the other hand, more recent studies by Ling et al.,15 with four vegetable species, report the evaluation of the effect of mercury chloride (HgCl2) on seed germination, coleoptile growth and elongation of the root at different doses and evaluated after 96 hours of exposure. All treated species were significantly inhibited at concentrations greater than 0.8 mM, sticking out Brassica campestris L. as the plant with the highest resistance to Hg and Brassica oleracea L. as the most sensitive to it. These results are consistent with those obtained in our study because the germination of seeds was not affected in its entirety, but rather in the growth of the radicle and in the elongation of the root after 96 h.

Plant under stress condition is most likely to be adversely affected by high concentrations of trace elements. The accumulation of Hg in plants disrupts many cellular-level functions and inhibits growth and development, but the mechanism is not fully understood. Hg accumulates preferentially in roots of several plant species. Therefore, most of the toxic effects are observed in roots. Relatively little is known about the molecular mode of action of Hg stress and the defense responses against it.22 In addition to absorbing Hg from soil through roots, plants can absorb Hg from the atmosphere through their stems and leaves. Studies of atmospheric mercury suggest that the leaves of the plant breathe through the pores and absorb the elemental Hg and methyl Hg in the atmosphere.24

The extraction of proteins from tissue samples is the most critical step in any study of plant proteomics. In this sense, proteomic analysis includes a series of stages that are more problematic in plant tissues than in other types of organisms. Efficient methods of protein extraction are essential to successfully apply proteomic analyzes in plants and particularly important agronomic crops, such as beans P. vulgaris L.

It has been recognized that regulation of gene expression in response to heavy metals stresses is a key mechanism in protection and survival of plants.25 The expression level of U1-70 kDa protein in root and shoot in response to 10 µmol L-1 HgCl2 was analyzed with western blots Figure 5. Expression results showed that in roots the well identified U1-70 kD protein was present, at 10 µmol L-1 Hg that was also weakly visible in leaf. In stem, U1-70 kD protein additional molecular protein bands were not detected Figure 6. The main factor which is involved in the higher total protein content could be the stress. Total protein content were hampered by the Hg ions.

Certain heavy metals are essential and important for normal growth and development of plants being an essential component of many enzymes and proteins. Further, are also known to induce alterations in cellular proteomes. In line with previous reports, treatment with increasing concentrations of mercury resulted in significant reduction in total protein concentration, possibly due to the degradation of a number of proteins.6 Metals are effective inducers of stress proteins, although the specific stress proteins induced can vary considerably. This is influenced by the type and dose of metal administered and the organism/tissue studied.

Germination rate and root elongation, as a rapid phytotoxicity test methods, possesses several advantages such as sensitivity, simplicity, low cost and suitability for unstable chemicals or sample. 18 Seed germination tests in petri dishes with filter papers moistened with a heavy metal solution are the most common methodology to assess metal phytotoxicity to plant species. However, the adsorption of metal ions onto filter paper can reduce their bioavailability.26 Moreover, the degree of seed or radicle exposure to metal ions may be greater in agar media than filter paper.

Mercury accumulation has been studied in various plant species. An efficient Hg accumulation mechanism in roots could represent a new and interesting phenomenon for the development of phytoremediation strategies in which a higher concentration of the pollutants remains tightly adhered to the plant tissues. Hg accumulation has also been found to be higher in roots than in shoots.27 Recent studies shown that the roots of aquatic plants show a superior Hg absorption capacity compared with the stems, whereas the Hg absorption capacity of the leaves was lower than that of the stems.21 In addition to the above, for our study, it is suggested to quantify the Hg of the samples and obtain the metal translocation index to determine the phytoremedial potential of the species under mercury stress conditions for future studies.

 

CONCLUSIONS

Overall, this study shows that contamination with Hg does not affect the germination of bean seeds P. vulgaris L. The presence of U1-70 kDa is identified for the first time in early germination stages of bean seeds P. vulgaris L.

It was shown that at 10 µmol L-1 HgCl2 the expression of U1-70 kDa is suppressed after 144 h of exposure in bean embryos. Moreover, this study reinforces the use of P. vulgaris L. as a model for toxicological analysis, including for Hg exposure and the expression of protein U1-70 kDa can be considered as a biochemical marker of contamination by mercury.

 

ACKNOWLEDGEMENTS

The authors would like to express their sincere gratitude to University of Zacatecas (UAZ).

 

REFERENCES

1. Hasan, M. K.; Cheng, Y.; Kanwar, M. K.; Chu, X. Y.; Ahammed, G. J.; Qi, Z. Y.; Front. Plant Sci. 2017, 8, 1492.

2. Bücker-Neto, L.; Sobral, P. A. L.; Dorneles, M. R.; Arenhart, R. A.; Pinheiro, M. M.; Plant Mol. Biol. 2017, 40, 1.

3. Rice, K.; Walker, Jr.; Wu, M.; Gillette, C.; Blough, E.; Journal of Preventive Medicine & Public Health 2014, 47, 2.

4. Kumar, B.; Kumari, S.; Cumbal, L.; Arabian J. Chem. 2017, 10, 2.

5. Arora, N.K.; Chauhan, R.; Environ. Sustainability 2021, 4, 1.

6. Georgiadou, E.; Kowalska, E.; Patla, K.; Kulbat, K.; Smolińska, B; Leszczyńska, J.; Fotopoulos, V.; Frontiers in Plant Science 2018, 9, 862.

7. Oliveira, A.; Ferreira, G.; Bianca, S.; Mateó, O.; Naozuka, J.; Int. J. Food Sci. 2017, 5957178, 8.

8. Al-Qurainy, F.; Aust. J. Basic Appl. Sci. 2009, 3, 3.

9. Veera, B. N.; Rama, K.; Marx, P.; Chinnapaka, V.; Padigya, M.; Int. J. PharmTech Res. 2015, 7, 3.

10. Chen, M. X.; Zhang, K. L.; Gao, B.; Yang, J. F.; Tian, Y.; Das, D.; Fan, T.; Dai, L; Hao, G. F.; Yang, G. F.; Zhang, J.; Zhu, F. Y.; Fang, Y. M.; Plant J. 2020, 103, 1.

11. Beauvais-Flück, R.; Slaveykova, V.; Cosio, C.; Sci. Rep. 2017, 7,8034.

12. Xudong, S.; Ying, Cao.; Ligeng, Ma.; Int. J. Mol. Sci. 2017, 18, 2.

13. Chen, M.-X.; Zhang, K.-L.; Gao, B.; Yang, J.-F.; Tian, Y.; Das, D.; Fan, T.; Dai, L.i; Hao, G.-F.; Yang, G.-F.; Zhang, J.; Zhu, F.-Y.; Fang, Y.-M.; The Plant Journal 2020, 103, 357.

14. de Francisco, A. M.; Willing, E. M.; Szabo, E. X.; Francisco-Mangilet, A. G., Droste-Borel, I.; Maček, B., Schneeberger, K., Laubinger, S.; The Plant Cell 2018, 30, 11, 2838.

15. Ling, T.; Fangke, Y.; Jun, R.; Res. J. Phytochem. 2010, 4, 225.

16. Humphries, T.; Chauhan, B.; Florentine, S.; PLoS One 2018, 13, 7.

17. Gustavsson, H.; Rask, L.; Josefsson, L.; Hereditas 1991, 115, 191.

18. Karimi, J.; Mohsenzadeh, S.; International Letters of Natural Sciences 2017, 63, 10.

19. Bradford, M.; Anal. Biochem. 1976, 72, 248.

20. Mæhre, H.; Dalheim, K; Edvinsen, L.; Elvevoll, G.; Jensen, I.; Foods 2018, 7, 1.

21. Laemmli, U. K.; Nature 1970, 227, 680.

22. Chen, Z; Gui, B.; Zhang, Y.; Xie, G.; Li, W.; Liu, S.; Xu, B.; Wu, C; He, L.; Yang, J.; Yi, X.; Yang, X.; Sun, L, Liang, J.; Shang Y.; J. Biol. Chem. 2017, 292, 44.

23. Costa-Becheleni, F. R.; Troyo-Diéguez, E.; Nieto-Garibay, A.; Bustamante-Salazar, L. A.; García-Galindo, H. S.; Murillo-Amador, B.; Agronomy 2022, 12, 103.

24. Yu, H.; Li, J.; Luan, Y.; Sci. Rep. 2018, 8, 1261.

25. Karimi, J.; Mohsenzadeh, S.; International Letters of Natural Sciences 2017, 63, 10.

26. Di Salvatore, M.; Carafa, A.; Carratu, C.; Chemosphere 2008, 73,1461.

27. Malar, S.; Sahi, V.; Favas, P.; Venkatachalam, P.; Int. J. Environ. Sci. Technol. 2015, 12, 3273.

On-line version ISSN 1678-7064 Printed version ISSN 0100-4042
Qu�mica Nova
Publica��es da Sociedade Brasileira de Qu�mica
Caixa Postal: 26037 05513-970 S�o Paulo - SP
Tel/Fax: +55.11.3032.2299/+55.11.3814.3602
Free access

GN1