JBCS



17:12, sáb out 25

Acesso Aberto/TP



Artigo


Síntese, fotorreatividade e interação com dna de um novo complexo de rutênio protótipo para o desenvolvimento de agentes fotoquimioterapêuticos
Synthesis, photoreactivity and interaction with dna of a new prototype ruthenium complex for the development of photochemotherapeutic agents

Walysson Gomes PereiraI,II; Patrícia Helenita Rocha MartinsI; Paulo Eduardo Cavalcanti Martins FilhoI; Tércio Freitas PauloI; Izaura Cirino Nogueira DiógenesI; Eduardo Henrique Silva SousaI,*; Luiz Gonzaga de França LopesI,*

I. Laboratório de Bioinorgânica, Departamento de Química Orgânica e Inorgânica, Universidade Federal do Ceará, 60455-760 Fortaleza - CE, Brasil
II. Laboratório de Ciências II: Química e Biologia, Instituto Federal do Ceará, 62960-000 Tabuleiro do Norte - CE, Brasil

Recebido em: 25/08/2023
Aceito em: 13/11/2023
Publicado em: 15/01/2024

Endereço para correspondência

*e-mail: lopeslu@dqoi.ufc.br; eduardohss@dqoi.ufc.br

RESUMO

A new ruthenium polypyridine complex, cis-[Ru(bpy)2(1-meimN)(4-pyCHO)](PF6)2 (WP1), where 1-meimN and pyCHO are the ligands 1-methylimidazole and 4-pyridinecarboxaldehyde, respectively, was prepared as a prototype for use in phototherapeutic process. This compound was characterized by electronic absorption in UV-Visible, FTIR, 1H and 13C NMR, cyclic voltammetry, besides DFT that supported its molecular structure. The compound WP1 was photoreactive, where blue or green light promoted the release of 4-pyCHO ligand. Additionally, this compound was able to interact with DNA, mainly through electrostatic interactions showing photoinduced nuclease activity. There is also photoproduction of superoxide ions using blue or green light suggesting a route for DNA damage. These promising results opened new opportunities for the potential use of this system and analogues as phototherapeutic agents, which is an ongoing study in our lab.

Palavras-chave: ruthenium; photochemistry; DNA; degradation.

INTRODUÇÃO

Câncer é a denominação geral de um grupo de doenças em que as células afetadas se tornam incapazes de controlar eficientemente o ciclo de divisão celular resultando em replicação contínua e excessiva de células não sadias.1 Dados globais de 2020 apontam para a ocorrência de mais de 18 milhões de novos casos de câncer por ano, levando ao óbito mais de 10 milhões dos acometidos por essa enfermidade.2 Diante de tal realidade, a comunidade científica tem se esforçado na busca por novos agentes quimioterapêuticos e diversificadas formas de tratamento.3-5 Dentre a miríade de potenciais fármacos propostos, os compostos de coordenação emergem como uma classe promissora, uma vez que propiciam a combinação de ações terapêuticas múltiplas em uma única substância. Além disso, os compostos de coordenação podem modular propriedades farmacodinâmicas e farmacocinéticas através do controle de fatores, tais como estado de oxidação do centro metálico, geometria do complexo, natureza do metal e dos ligantes.6-8 Essa afirmação é corroborada pelo grande sucesso terapêutico dos complexos de Pt(II) no tratamento de diversos tipos de câncer, destacadamente ovário e testículo.9-10

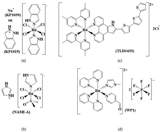
Os complexos de Pt(II), embora sejam, ainda, uma das classes de agentes quimioterapêuticos mais utilizados, estão associados a diversos efeitos colaterais, podendo ocasionar nefrotoxicidade, ototoxicidade, hepatotoxicidade e desordens gastrointestinais.11 Nesse sentido, compostos de coordenação contendo outros metais de transição vêm sendo explorados como potenciais agentes anticâncer, podendo-se citar complexos contendo Cu(II),12-15 Co(III),16-17 Au(III),18 Ir(III),19,20 Pt(IV)21 e, destacadamente, Ru(III). Dentre os compostos de rutênio, cita-se, particularmente, os compostos KP1019/133922 e NAMI-A23 que tiveram importante papel histórico (Figuras 1a e 1b). Alguns desses compostos de rutênio apresentaram promissores efeitos antimetastáticos, alcançando etapas avançadas em testes clínicos.

 


Figura 1. Estruturas dos complexos de rutênio investigados clinicamente: (a) KP1019/KP1339, (b) NAMI-A e (c) TLD 1433. (d) Estrutura molecular idealizada para o complexo de rutênio sintetizado neste trabalho (WP1)

 

Nas últimas décadas, uma abordagem terapêutica alternativa à quimioterapia convencional que tem se revelado extremamente promissora é a fototerapia. Nessa abordagem, a luz atua como "gatilho" induzindo a citotoxicidade do composto, permitindo a proposição de tratamentos mais seletivos, potentes e com menos efeitos colaterais.24 Dentre as abordagens fototerapêuticas destacamse a terapia fotodinâmica (PDT, do inglês photodynamic therapy)25-27 e a quimioterapia fotoativada (PACT, do inglês photoactivated chemotherapy).28-29

PDT se trata de uma modalidade fototerapêutica sendo a única, até o presente momento, com aprovação para uso clínico.30 Os sensibilizadores requeridos para uso em PDT são, comumente, moléculas que, quando irradiadas com luz em comprimento de onda adequado, absorvem energia passando do seu estado fundamental para o estado excitado. As moléculas sensibilizadoras no estado excitado podem transferir o excesso de energia diretamente ao oxigênio molecular formando oxigênio singleto, 1O2 (mecanismo tipo I), que é extremamente citotóxico. Outra possibilidade, mecanismo tipo II, a transferência de energia ocorre para moléculas que atuam como substrato para a formação de outras espécies reativas de oxigênio (ROS, do inglês reactive oxygen species), tais como radical superóxido e hidroxila.31 Desse modo, fica evidenciado que o fotossensibilizador ideal em PDT deve ser uma molécula pouco ou nada citotóxica no escuro e quando exposta a luz, mas que tenha a capacidade de formar ROS que, por sua vez, terão toxicidade sistêmica associada.32 Dentre os compostos que vêm sendo estudados para uso em PDT destaca-se o complexo polipiridínico de rutênio(II), TLD1433 (Figura 1c), já em etapa avançada de teste clínico (fase II).33-34

A abordagem terapêutica PACT, por sua vez, ainda não é clinicamente aprovada. Nessa abordagem, a molécula fotossensível deve apresentar citotoxicidade apenas após irradiação. Essa característica é atribuída às modificações estruturais e/ou redox fotoinduzidas.28 Assim, no caso da PACT, diferentemente da PDT, a citotoxicidade reside no próprio composto e/ou em ligantes fotoliberados, não havendo dependência do oxigênio disponível nos tecidos sendo, portanto, uma abordagem promissora para o tratamento de tumores em hipóxia.35 A utilização de complexos polipiridínicos de rutênio(II) em PACT se deve ao mecanismo de excitação. Esses compostos, após excitação com luz visível, costumam gerar estados excitados singletos 1TCML (transferência de carga metal-ligante) que decaem para estados tripletos 3TCML que podem acessar estados d-d por conversão intersistema. Esse estado, por sua vez, pode experimentar dissociação de ligantes da esfera de coordenação as quais são, tipicamente, substituídas por moléculas do solvente.36 Assim, tanto o complexo fotogerado quanto o ligante liberado podem estar associados aos efeitos biológicos, embora avaliar o possível sinergismo dessas espécies não seja trivial.37

O presente trabalho tem como objetivo sintetizar um complexo de rutênio capaz de atuar como fotosensibilizador para terapias PDT e PACT. Para tanto, procedeu-se a síntese do complexo polipiridínico de rutênio(II), cis-[Ru(bpy)2(1-meimN)(4-pyCHO)](PF6)2, sendo bpy = 2,2'-bipiridina, 1-meinN = 1-metilimidazol e pyCHO = 4-piridinocarboxialdeído. Estes ligantes, além da modulação das propriedades eletrônicas do complexo, permitem a funcionalização (ex. pyCHO) com grupos que possam atuar na vetorização do composto a alvos específicos. Para fins de simplificação, a partir de então, este complexo será denominado WP1 (Figura 4d).

 

PARTE EXPERIMENTAL

Materiais

RuCl3.xH2O, 2,2'-bipiridina e LiCl, de procedência Austrália Precious Metal Online, Sigma-Aldrich e Fisher Chemical, respectivamente, foram utilizados nos procedimentos sintéticos, sem purificação prévia. Todos os demais reagentes utilizados eram de grau de pureza analítica como descritos pela Merck, Sigma-Aldrich, Tedia ou Synth. A água usada em todos os experimentos foi ultrapurificada usando sistema Direct-Q-3/UV (Millipore) (> 18 MΩ cm).

DNA de timo bovino (Ct-DNA, Calf timus DNA, Sigma-Aldrich) e plasmídio pBR322 (NEB) foram usados nos ensaios de interação e clivagem de DNA. A pureza do plasmídio foi estimada por espectroscopia eletrônica nas regiões do ultravioleta e visível (UV-Vis) a partir da razão entre as absorbâncias das bandas em 260 e 280 nm (A260/A280), seguindo procedimento estabelecido na literatura.38 O valor obtido de 1,9 indica um elevado grau de pureza. Para o estudo mecanístico de degradação de DNA, foram realizados experimentos de eletroforese em gel de agarose usando os seguintes agentes sequestrantes de radicais: manitol (para HO), piruvato (para H2O2), histidina (para 1O2) e tiron (para O2-). Todos estes reagentes foram adquiridos da Sigma-Aldrich e utilizados sem purificação prévia.

Síntese dos compostos cis-[Ru(bpy)2(1-meimN)Cl]PF6, cis-[Ru(bpy)2(1-meimN)(H2O)]PF6 e cis-[Ru(bpy)2(1-meimN)(4-pyCHO)](PF6)2 (WP1)

O complexo precursor cis-[Ru(bpy)2Cl2] foi sintetizado de acordo com procedimento reportado por Sullivan et al.39 A partir deste, foi sintetizado o complexo cis-[Ru(bpy)2(1-meimN)Cl]PF6 conforme metodologia adotada para compostos análogos sintetizados em nosso grupo.40 O complexo cis-[Ru(bpy)2(1-meimN)(H2O)](PF6)2 foi preparado de acordo com metodologia descrita na por Bowden et al.41 com a finalidade de se obter o íon complexo cis-[Ru(bpy)2(1-meimN)(CH3CN)]2+ em solução de acetonitrila a fim de realizar estudos comparativos com os produtos de fotólise.

O composto cis-[Ru(bpy)2(1-meimN)(4-pyCHO)](PF6)2 (WP1) foi obtido por rota sintética similar a outras reportadas na literatura,7 com algumas modificações. Resumidamente, 150 mg do complexo cis-[Ru(bpy)2(1-meimN)Cl]PF6 (0,222 mmol) foram misturados com 83 μL (0,888 mmol, d = 1,137 g mL-1) do ligante 4-piridinocarboxialdeído (4-pyCHO) em 20 mL de solução etanol:H2O 1:1 e mantidos em agitação sob refluxo por 12 h. Após este tempo, a solução foi evaporada, reduzindo seu volume original à metade. A precipitação foi forçada com a adição de solução aquosa saturada de NH4PF6. O sólido de cor laranja obtido foi filtrado, lavado exaustivamente com metanol gelado e éter. Rendimento: 83,6%. Análise elementar de Ru: experimental: 11,49%; calculado para C30H27F12N7OP2Ru: 11,32%; RMN 1H (500 MHz, acetonitrila d-3) δ 10,03 (1H, s), 9,02 (1H, J 5,8 e 1,6 Hz, dd), 8,80 (1H, J 5,5 Hz, d), 8,62 (2H, m), 8,41 (1H, m), 8,32 (2H, J 8,1 e 6,3 Hz, dd), 8,25 (1H, J 8,8 e 1,4 Hz, dd), 8,12 (2H, J 7,9 e 1,6 Hz, tt), 7,90 (4H, m), 7,78 (1H, J 7,4, 5,7 e 1,4 Hz, ddd), 7,70 (1H, m), 7,62 (2H, m), 7,34 (3H, m), 7,00 (1H, s), 7,61 (1H, s), 3,56 (3H, s); FTIR: vmáx / cm-1 2918 (vCH), 2849 (vCH), 1715 (vCO), 1540 (ωCH) 1465 (vCN), 1446 (ßCN + CC), 1425 (ωCC), 839 (vPF), 762 (ßCH), 558 (vPF); UV-Vis: λmáx (acetonitrila) / nm; ε (L mol-1 cm1) 243 (2,07 × 104), 255 (1,63 × 104), 291 (4,86 × 104), 341 (7,10 × 103), 393 (7,27 ×103), 459 (1,23 × 104); eletroquímica: RuIII/RuII = 1391 mV (vs. ENH) em solução 0,1 mol L-1 de TBAHFP em acetonitrila.

Equipamentos

Os espectros de ressonância magnética nuclear de 1H e 13C foram obtidos em um espectrômetro Bruker AVANCE DPX 500. Os espectros eletrônicos nas regiões do UV-Vis foram obtidos em um equipamento Varian Spectrophotometer, modelo Cary 50, enquanto os vibracionais na região do infravermelho foram adquiridos em um equipamento PerkinElmer, modelo Spectrum Two. As medidas de dicroísmo circular foram realizadas em um espectrômetro Jasco-815. Os experimentos de eletroquímica (voltametria cíclica - VC) foram realizados em um potenciostato/galvanostato BAS Epsilon E2 818, usando uma célula de vidro convencional com entrada para três eletrodos. Carbono vítreo, platina e um pseudoeletrodo de Ag/Ag+ foram usados como eletrodos de trabalho, auxiliar e referência, respectivamente. Uma solução de hexafluorofosfato de tetrabutilamônio (TBAHFP) 0,1 mol L-1 em acetonitrila foi usada como eletrólito suporte. Ferroceno (Fc) foi usado como padrão interno, com valor de E1/2 (Fc) = 645 mV vs. ENH, auxiliando a corrigir o potencial medido. Os valores de potencial medidos foram convertidos e expressos em função do eletrodo normal de hidrogênio (ENH).42 A determinação do teor de Ru na amostra foi feita por espectrofotometria de absorção atômica com metodologia análoga a reportada na por Rowston e Ottaway.43 Para tal, foi utilizado um espectrofotômetro de chama SpectrAA 220FS da Varian e lâmpada de cátodo oco de Ru. As análises foram conduzidas com mistura gasosa de Ar e acetileno, corrente de 8 mA e λabs = 349,9 nm. A curva padrão foi construída com cloreto de hexaminrutênio(III) em concentrações de 10 a 60 ppm (abs = 2,2 × 10-4 × [Ru] - 7,7 × 10-4 , R = 0,9935).

Detalhes computacionais

Todos os cálculos quânticos computacionais foram realizados usando o programa Gaussian 09, revisão D01 (Gaussian Inc., Wallingford, CT).44 A estrutura do complexo foi otimizada usando a teoria do funcional da densidade (DFT, density functional theory) com o funcional de troca e correlação B3LYP Os conjuntos de base LANL2DZ e 6-311++G(d,p) foram usados para descrever átomo de rutênio e os demais átomos, respectivamente. Os cálculos de frequências vibracionais foram realizados e não apresentaram frequências negativas, indicando que a geometria corresponde a um mínimo de energia potencial. As energias das transições eletrônicas (os primeiros cem estados) foram calculadas usando a extensão da DFT dependente do tempo (TD-DFT - time-dependent DFT) a partir das geometrias otimizadas considerando o modelo de polarização contínua45 (PCM, polarizable continuum model) para descrever o efeito do solvente (acetonitrila). Os espectros de infravermelho e UV-Vis e os dados das transições vibracionais e eletrônica foram extraídos dos arquivos de saída usando o programa GaussSum 3.0.46 As frequências vibracionais foram corrigidas por um fator de 0,9679 considerado para o nível de teoria empregado.47 Os orbitais naturais de transição (NTO, natural transition orbitals) foram obtidos a partir dos arquivos de saída dos calculados de TD-DFT usando o programa Multiwfn 3.8.

Fotólise

Os experimentos de fotólise contínua do composto WP1 foram realizados em acetonitrila e monitorados por espectroscopia de absorção eletrônica nas regiões do UV-Vis. A irradiação foi feita em cubeta de quartzo com caminho óptico de 1 cm. Estes experimentos foram realizados em um reator fotoquímico usando diodo emissor de luz (LED) azul (452 nm), verde (521 nm) ou vermelho (636 nm) com potência de 20 W.

Estudos de interação com DNA

Titulação espectrofotométrica no UV-Vis

A titulação espectrofotométrica de uma solução 20 mmol L-1 de WP1 em tampão PBS 0,1 mol L-1, pH 7,4, foi realizada com adições crescentes de Ct-DNA (20 a 131 mmol L-1 em pares de bases nucleotídicas). A absorbância em 291 nm para o complexo foi monitorada com o tempo. A cada nova adição de DNA, foi aguardado cerca de 5 min, a fim de assegurar interação com o complexo. Ao final, o volume de solução de Ct-DNA adicionado foi menor do que 5% do volume inicial da solução contendo o complexo (2 mL), tornando a diluição desprezível. Para determinar a constante de ligação entre o complexo e o Ct-DNA, foi aplicada a Equação 1, conforme reportado na por Venugopal et al.48

Sendo [DNA] a concentração de Ct-DNA, εa o coeficiente de extinção molar do complexo para cada concentração de Ct-DNA, εb o coeficiente de extinção molar do complexo ligado ao Ct-DNA, εf o coeficiente de extinção molar livre e Kb a constante de ligação entre o complexo e DNA.

Espectroscopia de dicroísmo circular (DC)

Para os experimentos de dicroísmo circular (DC), foi utilizado uma solução 100 μmol L-1 de Ct-DNA em 10-2 mol L-1 de tampão Tris pH 7,4. Os espectros foram obtidos para uma solução apenas do DNA e para adições sucessivas de WP1 nas concentrações de 20, 30 e 40 μmol L-1 de WP1. Foi obtido, ainda, um espectro contendo apenas 40 μmol L-1 de WP1 como controle. Os experimentos foram realizados em uma cubeta de quartzo com caminho óptico de 1 cm, varredura de 100 nm min-1 e 5 acumulações de espectro.

Medidas de viscosidade relativa

Medidas de viscosidade relativa do Ct-DNA (0,25 mmol L-1) em função de diferentes concentrações de WP1 (razão [Ru]/[DNA] de até 0,48) foram realizadas usando viscosímetro Cannon Fenske de tamanho 75. O experimento foi conduzido a 25 ± 0,2 °C em banho termostático Schott CT S2. A viscosidade medida é descrita pela equação η = (t-t0)/t0, que se refere à viscosidade na presença do complexo metálico, sendo t o tempo do fluxo na presença ou ausência do complexo, t0 sendo o tempo de corrida do tampão. A medida de η0 se trata da viscosidade da solução de DNA na ausência do complexo metálico. Os experimentos foram repetidos cinco vezes para cada solução de complexo:DNA, do qual os três valores mais próximos entre si foram considerados no tratamento dos dados. Um gráfico da razão (η/η0)1/3 versus [Ru]/[DNA] foi apresentado a fim de descrever o comportamento do complexo.

Ensaio de clivagem de DNA

Os ensaios de clivagem do DNA foram conduzidos empregando eletroforese em gel de agarose (0,8% m/v em tampão TAE, pH 7,4). Nesses ensaios, foram utilizados 130 ng (43 mmol L-1 em termos de pares de bases nucleotídicas) de DNA pBR322 em sua forma super enovelada em solução 10 mmol L-1 de Tris-HCl, pH 7,4. Os experimentos foram conduzidos na presença e ausência de WP1 e sob irradiação ou não com luz azul (463 nm, 1,7 W) ou verde (521 nm, 1,7 W), com um tempo de incubação e/ou irradiação de 1 h. Após a corrida eletroforética, as amostras foram coradas com Gel Red (1 mg mL-1 por 2 h) e as imagens coletadas foram analisadas usando o Gel Doc XR + System (Biorad).

 

RESULTADOS E DISCUSSÃO

Caracterização e análise computacional

O complexo WP1 foi caracterizado por voltametria cíclica e técnicas espectroscópicas a fim de confirmar a estrutura molecular proposta e estudar as suas propriedades eletrônicas. O espectro de RMN de 1H obtido para WP1 em acetonitrila deuterada encontra-se ilustrado na Figura 2.

 


Figura 2. Espectro de RMN de 1H para o complexo WP1, obtido em acetonitrila-d3 (500 MHz a 25 ºC)

 

A integração dos sinais indica a presença de 27 hidrogênios, sendo consistente com a estrutura proposta na Figura 1d. Para a atribuição dos sinais, foram considerados os espectros dos ligantes livres (Figuras 1S e 2S) e a análise comparativa com complexos análogos reportados na literatura.49-51 Dessa forma, o simpleto observado em 10,03 ppm é atribuído ao hidrogênio do grupo aldeído, indicando a presença do ligante 4-pyCHO na esfera de coordenação. Essa atribuição é reforçada pela observação de dois dupletos em 8,62 e 7,62 ppm atribuídos aos hidrogênios do anel aromático do ligante 4-pyCHO. A presença do ligante 1-meimN na esfera de coordenação é confirmada através dos sinais em 3,58 ppm (simpleto com integração de três hidrogênios) e em 7,36, 7,00 e 6,61 ppm. Os outros sinais no espectro de RMN de 1H são atribuídos aos hidrogênios dos ligantes bipiridínicos.

O espectro de RMN de 13C (Figura 3S) corrobora com as atribuições do espectro de RMN de 1H, destacando-se os sinais em 191,43 e 34,19 ppm, atribuídos, respectivamente, aos carbonos dos grupos carbonila do aldeído (do ligante 4-pyCHO) e metila (do ligante 1-meimN).

As atribuições das bandas observadas no espectro vibracional na região do infravermelho (FTIR) do composto WP1 (Figura 4S(a)) são propostas a partir do espectro teórico (Figura 4S(b)) e de comparação com dados de outros complexos similares reportados na literatura.52-53 As bandas em 2918 e 2849 cm-1 são atribuídas ao estiramento da ligação C-H (νC-H), presente nos anéis N-heterocíclicos da molécula. Por sua vez, a banda em 1715 cm-1 é característica do estiramento do grupo carbonila (νC=O) do ligante 4-pyCHO reforçando, assim, a presença desse ligante na estrutura molecular do complexo. As bandas em 1465, 1446 e 1425 cm-1 são associadas aos modos de estiramento das ligações C=N e C=C dos anéis piridínicos ou imidazólicos, enquanto aquela em 762 cm-1 é atribuída ao modo de deformação angular da ligação C-H (δC-H) nos anéis aromáticos. Adicionalmente, observaram-se sinais referentes ao contra-íon PF6- em 839 e 558 cm-1. Os valores experimentais e teóricos de número de onda das bandas mais relevantes estão sumarizados na Tabela 1S.

Os espectros UV-Vis, experimental e teórico, obtidos para o complexo WP1 em acetonitrila encontram-se ilustrados na Figura 3. A Tabela 1 resume os parâmetros espectroscópicos, sendo possível verificar uma correlação satisfatória entre os dados experimentais e teóricos.

 


Figura 3. Espectros de absorção eletrônica na região UV-Vis do complexo WP1 (-) experimental em acetonitrila, [WP1] = 15 µmol L-1 e (---) calculado ao nível de teoria TD-DFT/B3LYP/ LANL2DZ/6-311++G(d,p)

 

 

 

A atribuição das bandas foi realizada a partir da análise dos orbitais naturais de transição (NTO, natural transition orbitals) que apresentam uma visualização mais simplificada das transições eletrônicas. De acordo com os cálculos de TD-DFT, a banda larga observada experimentalmente com máximo de absorbância em 459 nm (ε = 1,23 × 104 L mol-1 cm-1) está associada principalmente à transição dπ(Ru) → π*(4-pyCHO) sendo atribuída, portanto, a uma transição de transferência de carga do metal para o ligante (TCML).

As bandas em 393 (ε = 7,57 × 103 L mol-1 cm-1) e 341 nm (ε = 7,51 × 103 L mol-1 cm-1) estão associadas às transições do tipo TCML envolvendo o ligante bpy, dπ(Ru) → π*(bpy). Já a banda mais intensa, com máximo em 291 nm (ε = 5,53 × 104 L mol-1 cm-1), está associada às transições intraligante (IL, π → π*) do ligante bpy. Por fim, as bandas com máximo em 255 nm (ε = 1,86 × 104 L mol-1 cm-1) e 243 nm (ε = 2,26 × 104 L mol-1 cm-1) envolvem as transições IL (π → π*4-pyCHO) e interligante (TCLL, transferência de carga ligante-ligante) (π(bpy) → π*(4-pyCHO)), respectivamente.

Os voltamogramas cíclicos obtidos para os complexos WP1, cis-[Ru(bpy)2Cl2] e cis-[Ru(bpy)2(1-meimN)Cl]+ são apresentados na Figura 4.

 


Figura 4. Voltamogramas cíclicos a 100 mV s-1 do eletrodo de carbono vítreo na presença de (a) cis-[Ru(bpy)2Cl2], (b) cis-[Ru(bpy)2(1-meimN)Cl]+ e (c) WP1 dissolvidos em acetonitrila contendo hexafluorofosfato de tetrabutilamônio (TBAHPF) 0,1 mol L-1. Ferroceno foi usado como padrão interno, Fc/Fc+ = 645 mV vs. ENH

 

Na região de varredura positiva de potencial (de 0 a 1800 mV) são observadas ondas atribuídas ao par redox Ru3+/2+. Os valores de potenciais de meia onda (E1/2), calculados a partir da média algébrica dos potenciais de pico anódico e catódico, foram calculados em 523, 835 e 1391 mV para os compostos cis-[Ru(bpy)2Cl2], cis-[Ru(bpy)2(1-meimN)Cl]+ e WP1, respectivamente. O potencial mais positivo observado para o complexo WP1 indica um incremento na estabilidade termodinâmica do centro metálico no estado reduzido (Ru2+) após coordenação dos ligantes 4-pyCHO e 1-meimN.

Por outro lado, em potenciais negativos observam-se processos eletroquímicos atribuídos à redução dos ligantes.54 Os processos associados a redução bpy0/bpy1- nos complexos cis-[Ru(bpy)2Cl2], cis-[Ru(bpy)2(1-meimN)Cl]+ e WP1 foram observados com valores de Ered de -1524, -1403 e -1279 mV, respectivamente. Para o composto WP1, observou-se um processo de redução adicional em -879 mV atribuído ao ligante 4-pyCHO com formação da espécie 4-pyCHO-. De fato, os cálculos de TD-DFT indicam que o orbital desocupado de mais baixa energia (LUMO, lowest unoccupied molecular orbital) encontra-se majoritariamente localizado sobre o ligante 4-pyCHO (Tabela 1). Ainda de acordo com os cálculos computacionais, o HOMO (do inglês, highest occupied molecular orbital) do complexo estudado está centrado, majoritariamente, sobre o centro metálico. Assim, os resultados de eletroquímica permitiram calcular a variação de energia entre os níveis HOMO e LUMO e os valores determinados encontram-se resumidos na Tabela 2. É possível observar uma ótima correlação entre o valor obtido empírica e computacionalmente levando em consideração as aproximações efetuadas.

 

 

Fotólise

O comportamento fotoquímico do composto WP1 foi inicialmente estudado através do acompanhamento das mudanças espectrais nas regiões do UV-Vis em acetonitrila sob irradiação com luz azul (λirr. = 452 nm), verde (λirr. = 521 nm) ou vermelha (λirr. = 636 nm), conforme ilustrado na Figura 5.

 


Figura 5. Acompanhamento espectral para soluções de WP1 em acetonitrila quando irradiadas com luz: (a) azul (inset: acompanhamento da absorbância em 459 nm em função do tempo), (b) verde (inset: acompanhamento da banda em 459 nm em função do tempo) e (c) vermelha. (d) Espectros do produto da fotólise (linha tracejada vermelha) e do íon complexo cis-[Ru(bpy)2(1-meimN)(CH3CN)]2+

 

Pode-se observar que o composto WP1 apresenta rápida mudança espectral quando irradiado com luz azul ou verde, enquanto não há mudança espectral considerável quando irradiado com luz vermelha. Estes resultados estão de acordo com o valor de Egap estimado por voltametria cíclica (2,32 eV ou 534 nm) que indica que, diferentemente da luz vermelha, a irradiação com luz azul ou verde possui energia suficiente para excitar o composto WP1.

Quando irradiado no azul ou verde, reações fotolíticas idênticas parecem ocorrer, visto que os perfis espectrais são similares com diminuição de intensidade da banda em 459 nm e deslocamento da banda com máximo em 291 para 288 nm. Adicionalmente, observa-se um ponto isosbéstico em 329 nm indicando a existência de apenas duas espécies químicas em equilíbrio, nas condições estudadas. Quando irradiado no azul, contudo, a reação de fotólise ocorre mais rapidamente comparativamente à irradiação no verde, já que a mudança de absorção da banda em 459 nm se estabiliza em tempos de reação mais curtos (inset Figuras 5a e 5b).

Inglez et al.,58 estudando a fotólise do íon complexo cis-[Ru(bpy)2(3-Amnpy)2]2+, em que 3-Amnpy é o ligante 3-aminopiridina, observaram que ao irradiá-lo com luz azul, em acetonitrila, ocorreu a fotossubstituição sequencial dos ligantes 3-Amnpy pelo solvente. Nesse processo, foi fotogerado os íons complexos cis-[Ru(bpy)2(3-Amnpy)(CH3CN)]2+ e cis-[Ru(bpy)2(CH3CN)2]2+, os quais possuem bandas do tipo TCML com absorbâncias máximas em 440 e 428 nm, respectivamente.59 Por analogia ao trabalho mencionado, sugere-se que apenas um dos ligantes N-heterocíclicos monodentados (1-meimN ou 4-pyCHO) experimente substituição no caso da reação de fotólise do composto WP1.

O estudo de DFT permitiu, a partir da estrutura otimizada do complexo, obter informações sobre o comprimento esperado para as ligações Ru-ligantes e, consequentemente, sobre suas energias associadas (Figura 5S). Conforme o descrito teoricamente, a ligação Ru-4-pyCHO é mais longa, e, portanto, mais fraca, do que a ligação Ru-1-meimN. Desta maneira, seria razoável supor que o ligante piridínico é fotossubstituído preferencialmente frente ao imidazólico. De modo a validar essa hipótese, foi comparado o espectro de absorção eletrônica na região do UV-Vis para o produto da fotólise com luz azul do WP1 com relação aquele para o complexo cis-[Ru(bpy)2(1-meimN)(H2O)]2+ em acetonitrila (Figura 5d). É estimado que após cerca de 40 min em acetonitrila todo cis-[Ru(bpy)2(1-meimN)(H2O)]2+ seja convertido em cis-[Ru(bpy)2(1-meimN)(CH3CN)]2+ (Figura 6S). Na Figura 5d observa-se que cis-[Ru(bpy)2(1-meimN)(CH3CN)]2+ e o WP1 irradiado no azul possuem perfis espectrais idênticos, indicando se tratarem da mesma espécie, o que estaria de acordo com a fotolabilização do ligante 4-pyCHO.

Objetivando determinar a natureza do produto da fotólise do composto WP1, foram obtidos espectros RMN 1H imediatamente após 1 h de fotólise do complexo com luz azul. A Figura 6 apresenta o espectro obtido para o produto da reação juntamente com os espectros do ligante 4-pyCHO e do íon complexo cis-[Ru(bpy)2(1-meimN)(CH3CN)]2+ para fins de correlação. Para o íon complexo cis-[Ru(bpy)2(1-meimN)(CH3CN)]2+, seu espectro foi obtido após 24 h de incubação do composto cis-[Ru(bpy)2(1-meimN)(H2O)]2+ ser mantido em acetonitrila, assegurando a completa substituição do ligante aquo por uma molécula de acetonitrila.

 


Figura 6. Espectros de RMN de 1H obtidos em acetonitrila-d3 para (a) 4-pyCHO, (b) WP1 fotolisado com irradiação de luz no azul por 1 h e (c) cis-[Ru(bpy)2(1-meimN)(CH3CN)]2+, obtido após 24 h de incubação do complexo cis-[Ru(bpy)2(1-meimN)(H2O)]2+em acetonitrila

 

Pode-se observar que os espectros de ambas as soluções indicados nas Figuras 6b e 6c têm grande similaridades tanto com relação aos valores de deslocamento químico quanto a multiplicidade apresentada pelos sinais (sinais destacados). Curiosamente, o que diferencia o composto WP1 fotolisado do íon complexo cis-[Ru(bpy)2(1-meimN)(CH3CN)]2+ é a presença dos sinais em 10,06, 8,85 e 7,68 ppm. Esses sinais, por sua vez, são característicos do ligante 4-pyCHO livre em acetonitrila (Figura 6a). Estes dados corroboram com o processo de fotoliberação do ligante 4-pyCHO da esfera de coordenação do complexo WP1 mediado pela irradiação de luz azul (ou verde) com formação do íon complexo cis-[Ru(bpy)2(1-meimN)(CH3CN)]2+ segundo a Equação 2. Adicionalmente, os sinais observados no espectro de RMN 1H do ligante 1-meimN livre (Figura 1S) não correspondem àqueles observados no espectro do produto da fotólise reiterando, portanto, que esta espécie não é liberada quando o composto WP1 é fotolisado.

Estudos de interação e dano ao DNA

Estudos espectroscópicos

A técnica de espectroscopia eletrônica de absorção no UV-Vis tem sido uma importante ferramenta para o estudo da interação de moléculas simples com o DNA.60 A interação do WP1 com o DNA de timo bovino (Ct-DNA) causa perturbações no espectro eletrônico do complexo, conforme ilustrado na Figura 7a. Importante ressaltar que o complexo se mostra estável em solução de PBS pH 7,4 (Figura 7S) e as mudanças espectrais observadas decorrem unicamente da interação WP1-DNA. É possível observar que há uma variação hipocrômica das bandas com máximo de absorção em 290 e 466 nm. Efeitos hipocrômicos tipicamente ocorrem quando há interação entre a molécula ligante e o DNA, podendo haver intercalação, interação nos sucos ou até mesmo ligação covalente.61 Uma vez que não há deslocamento no comprimento de onda dos máximos de absorção é provável que, no presente caso, seja preponderante a interação eletrostática entre os íons complexos de natureza catiônica e regiões ricas em densidade eletrônica do DNA. Sabe-se que atrações eletrostáticas entre moléculas ligantes e DNA geram mudanças conformacionais na biomolécula, enfraquecendo ligações entre as cadeias, ocasionando uma maior ocorrência das transições do tipo π→π* entre as bases nitrogenadas cromóforas e, deste modo, havendo variação do valor de absorbância associado a esta transição. Assim sendo, é possível estimar que WP1 interage, possivelmente eletrostaticamente, com Ct-DNA, causando mudanças sensíveis em sua conformação original.62 Entretanto, sabe-se que tais observações são insuficientes para indicar um modo específico de interação ao DNA.

 


Figura 7.. Espectros de (a) absorção eletrônica de WP1 (20 μmol L-1) na presença de diferentes concentrações de DNA. Inset: Perfil gráfico da relação (εa - εbb - εf) como função da concentração de DNA para obtenção da constante de associação. (b) Dicroísmo circular de Ct-DNA (100 μmol L-1, em bases nitrogenadas) na ausência e presença de WP1 nas concentrações de 20, 30 e 40 μmol L-1, bem como do espectro controle de WP1 40 μmol L-1 sem DNA

 

A fim de obter mais informações sobre o possível modo de interação do composto WP1 com o DNA, investigou-se como a viscosidade relativa do Ct-DNA (0,25 mmol L-1) em PBS 7,4 se alteraria sob diferentes concentrações de WP1 (Figura 8S). O gráfico obtido de viscosidade relativa (η/η0)1/3 versus a razão da concentração de WP1/DNA indicou um moderado decréscimo da viscosidade com o aumento da concentração do complexo. Esse perfil, ao ser comparado com de outros ligantes orgânicos ou inorgânicos com modos de interação ao DNA descritos na literatura, indicou que a interação do complexo WP1-DNA deva ocorrer por atração eletrostática.63

De modo a estimar quantitativamente a interação entre WP1 e Ct-DNA a constante de ligação Kb foi medida por titulação espectrofotométrica (inset na Figura 7a). O valor de Kb calculado foi de 5,16 × 103, o que está de acordo com valores descritos para complexos que possuem interação com DNA majoritariamente por via eletrostática (Tabela 3).64 Ademais, tem-se que o valor de Kb para WP1 é quase uma ordem de grandeza superior aos complexos tris-bipiridinicos de rutênio e de magnitude similar aquelas dos complexos fenantrolínicos. Esse resultado é interessante considerando que os complexos [Ru(bpy)3]2+ e [Ru(phen)3]2+ são compostos modelos usados em testes in vitro para a produção de oxigênio singleto e a consequente degradação de DNA.65 Estes complexos, interajam majoritariamente de maneira eletrostática com sulcos do DNA, embora aqueles com ligantes fenantrolínicos exibam moderada intercalação.

 

 

A espectroscopia de dicroísmo circular (CD) foi utilizada de modo complementar na investigação da interação do composto WP1 com DNA. Esta técnica tem sido amplamente utilizada no estudo de biomoléculas devido a sua sensibilidade em mudanças conformacionais de macromoléculas como proteína e DNA.66 Na Figura 7b observa-se o espectro de CD para o Ct-DNA (100 μmol L-1, em base nitrogenadas) sob adição de diferentes concentrações do composto WP1. A adição do composto provocou uma redução na intensidade tanto da banda positiva (λmáx = 276 nm) quanto da banda negativa (λmáx = 245 nm) referentes ao DNA. A diminuição da banda negativa do CD tem sido atribuída a perda da helicidade direita no DNA, enquanto que a redução da banda positiva está associada a mudanças conformacionais da forma B-DNA para Z-DNA, possivelmente promovida pelo composto WP1.67-68 Estes resultados estão de acordo com a interação de WP1 com Ct-DNA por sulcos e atração eletrostática.69

Estudo de atividade nuclease

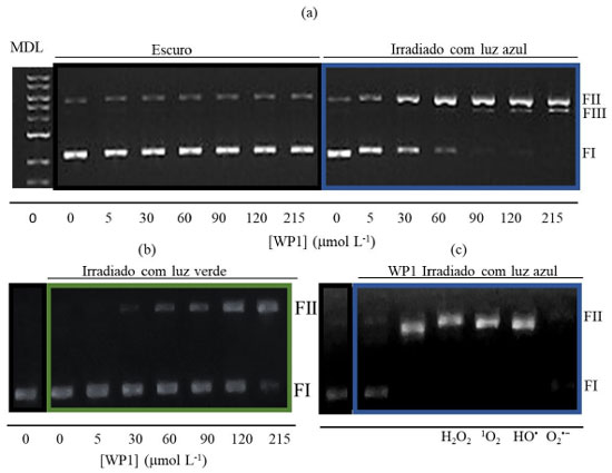
Uma vez constatada a interação entre o complexo WP1 e DNA realizou-se experimentos de mudança de mobilidade eletroforética a fim de se investigar a suscetibilidade do DNA em sofrer processos deletérios em sua estrutura, decorrentes da interação complexo-DNA na ausência e na presença de irradiação luminosa. No presente estudo foi usado um DNA circular, plasmídeo pBR322. Este DNA encontrase de modo predominante em sua forma super enovelada, chamada forma I (FI), a qual migra mais rapidamente em gel de agarose. Caso haja clivagem em uma única fita do DNA este plasmídeo assume a forma relaxada, conhecida como forma II (FII) e havendo clivagem em ambas as fitas formar-se-á o DNA linearizado, conhecido como forma III (FIII).64

Na Figura 8 observa-se as imagens dos géis após as corridas eletroforéticas na presença e ausência do complexo WP1, bem como sob irradiação de luz ou no escuro. É possível notar que WP1 não promove alterações sensíveis na forma super enovelada do DNA (FI) na ausência de irradiação, mesmo em concentrações relativamente altas do complexo metálico (ex. 215 µmol L-1) (Figura 8a). Por outro lado, quando irradiado com luz azul, WP1 promove a clivagem do DNA plasmidial de forma dose dependente, sendo possível evidenciar a formação de FII a partir da concentração de 30 µmol L-1 do complexo metálico. Além disso, quando a concentração do WP1 é de 90 µmol L-1, ou superior, é constatada a clivagem do DNA em suas duas fitas e a consequente formação da forma FIII. Portanto, constata-se que WP1 pode promover danos ao DNA especificamente sob estímulo luminoso, uma propriedade atrativa para uso em fototerapias.35

 


Figura 8.. Ensaios de clivagem de DNA plasmidial (pBR322). (a) DNA incubado com WP1 em concentrações crescentes (5-215 µmol L-1), no escuro e irradiado com luz azul (λirr. = 452 nm), MDL = marcador de DNA linear. (b) DNA incubado com WP1 em concentrações crescentes (5-215 µmol L-1) e irradiado com luz verde (λirr. = 521 nm). (c) DNA incubado com WP1 (90 µmol L-1) e irradiado com luz azul na ausência e presença dos inibidores de ROS: piruvato (H2O2), histidina (1O2), manitol (HO) e tiron (O2-)

 

Adicionalmente, outro critério importante para um agente fototerapêutico promissor é apresentar fototoxicidade sob estímulo próximo a denominada janela fototerapêutica (600-900 nm). Conforme previamente apresentado, o complexo WP1 não sofre fotólise significativa quando submetido a irradiação com luz vermelha (λirr. = 636 nm), mas é susceptível a sofrer fotossubstituição eficientemente quando irradiado com luz verde (λirr. = 521 nm). De forma animadora, observa-se que o DNA na presença de WP1 e irradiado com luz verde sofre clivagem (Figura 8b). Contudo, este processo é mais discreto do que aquele observado com luz azul, sendo visualizada apenas a forma FII nas concentrações estudadas.

De modo a investigar o mecanismo envolvido no processo de fotoclivagem do DNA promovido por WP1 foram conduzidos experimentos de fotoatividade nuclease na presença de espécies supressoras de agentes causadores de dano ao DNA. Nesse estudo foram empregados os seguintes supressores de ROS: piruvato (para H2O2), histidina (para 1O2), manitol (para HO) e tiron (para O2-). Durante os experimentos empregou-se luz azul e WP1 na concentração de 90 µmol L-1, considerando que nestas condições o DNA seria completamente convertido da forma FI para as formas FII e ou FIII.

É possível observar que a fotoclivagem do DNA plasmidal não é substancialmente alterada com o emprego da maior parte dos supressores, a exceção do supressor de radical O2-, o qual suprimiu a clivagem significativamente. Deste modo, a produção do ânion superóxido deve ser o mecanismo principal que leva ao dano do DNA durante o processo de fotólise do WP1. Curiosamente, uma vez que a irradiação do WP1 leva a fotossubstituição do ligante 4-pyCHO com a consequente formação de cis-[Ru(bpy)2(1-meimN)(H2O)]2+, é provável que esta espécie, uma vez produzida, reaja com O2 para formar O2- (ou sua forma protonada HO2). Mecanismo similar foi proposto por Martins et al.64 para o complexo cis-[Ru(bpy)2(SO3)(NO)]+, cuja fotólise no ultravioleta levou a formação do cis-[Ru(bpy)2(SO3)(H2O)] com a fotogeração do ânion superóxido, levando a clivagem do DNA. O mecanismo de formação de ânion superóxido a partir do desproporcionamento de H2O2 é descartado no presente estudo pelo fato de que não houve supressão de dano ao DNA na presença de piruvato. Uma vez fotolisado, o composto WP1 tem o ligante 4-pyCHO substituído por água, dando origem ao aqua-complexo cis-[Ru(bpy)2(1-meimN)(H2O)]2+ e 4-pyCHO livre, havendo a possibilidade dessas espécies serem capazes de promover dano ao DNA.37

A fim de avaliar o papel dos fotoprodutos realizou-se estudo comparativo, ilustrados na Figura 9. Empregou-se nesse estudo o aqua complexo (Ru-H2O) e o ligante 4-pyCHO, investigando seus efeitos no escuro ou sob irradiação de luz azul. No caso do aqua complexo observou-se atividade nuclease apenas quando irradiado com luz azul (Figura 9a) ou verde (Figura 9S), enquanto para o ligante livre não há diferença significativa sob nenhuma das condições estudadas. Assim sendo, é possível considerar que a ação nuclease decorrente da irradiação do WP1 se deve, possivelmente, ao complexo fotogerado e não ao ligante aldeídico livre. Curiosamente, o aqua complexo incubado no escuro não promoveu a clivagem do DNA nem alteração eletroforética, indicando não ser um caso simples de mecanismo "caged/photouncaged", cujo complexo fotoproduzido tem uma ação tipo cisplatina, ou seja, de direta coordenação às bases do DNA.

 


Figura 9. Ensaios de clivagem de DNA (pBR322) empregando fotoprodutos. (a) DNA incubado com concentrações crescentes do composto cis-[Ru(bpy)2(1-meimN)(H2O)]2+ (Ru-H2O), mantidos no escuro ou sob irradiação de luz azul. (b) DNA incubado com concentrações crescentes do ligante 4-pyCHO, mantidos no escuro ou sob irradiação de luz azul (λirr. = 452 nm). MDL = marcador de DNA linear

 

Portanto, é proposto que o composto WP1 irradiado com luz azul ou verde, em meio aquoso, libera o ligante 4-pyCHO formando o aqua complexo. Este, por sua vez, sob irradiação contínua deve reagir com oxigênio formando o ânion superóxido, o qual promove a clivagem do DNA. Logo, WP1 possui uma ação fotonuclease seletiva, apresentando um mecanismo misto entre fotossensibilizadores tipicamente utilizados em PDT e PACT, uma vez que há a liberação de ligantes sob irradiação, característico de PACT, mas a sua possível ação citotóxica se deve a produção de ROS, o que é característico de sensibilizadores usados em PDT.

 

CONCLUSÕES

Neste estudo, pode-se concluir que o complexo cis-[Ru(bpy)2(1-meimN)(4-pyCHO)](PF6)2 (WP1) foi exitosamente sintetizado, como confirmado pelas várias técnicas de caracterização empregadas. Este composto apresentou-se ainda susceptível a processo fotoquímico com uso de luz azul ou verde, fotogerando o complexo cis-[Ru(bpy)2(1-meimN)(H2O)]2+ (Ru-H2O) e liberando o ligante aldeídico (4-pyCHO). O DNA se mostrou como um possível alvo para este complexo, com moderada constante de ligação, sugerindo um modo de interação eletrostática. Além disso, por meio de estímulo luminoso o complexo metálico foi capaz de clivar o DNA, sendo o mecanismo de fotodegradação associado à formação do aqua complexo e geração do ânion superóxido.

Assim, pode-se sugerir que WP1 tem propriedades interessantes para o desenvolvimento de sensibilizadores para fototerapias. Além das propriedades intrínsecas do composto WP1, já abordadas no presente estudo, o ligante 4-pyCHO pode ainda ser usado como grupo de funcionalização e conjugação, por exemplo, com nanocarreadores, agentes biocidas ou com moléculas sinalizadoras que promovam a especificidade do composto a células cancerígenas (ex. biotina, anticorpos). Considerando que o ligante piridínico é liberado após irradiação luminosa, como descrito nesse trabalho, o uso deste ligante modificado propiciaria, além da vetorização do complexo com entrega no ambiente celular, a fotogeração do composto bioativo Ru-H2O no sítio desejado. Por outro lado, a substituição de bipiridinas por outros ligantes que atuem mais eficientemente como intercaladores no DNA, tal como fenantrolinas ou derivados fenazínicos (ex. dppz), também devem ser exploradas possivelmente melhorando suas interações com alvos biológicos como o DNA. Apesar de não dispormos de resultados que validem essas potencialidades para esse sistema, estudos nesse segmento estão em desenvolvimento em nosso laboratório.

MATERIAL SUPLEMENTAR

Está disponível em http://quimicanova.sbq.org.br, no formato PDF e com acesso livre, os espectros dos de RMN 1H dos ligantes 1-meimN (Figura 1S) e 4-pyCHO (Figura 4S) obtidos comercialmente. Também estão disponíveis os espectros de RMN de 13C (Figura 3S) e de FTIR, experimental e calculado, (Figura 4S) para o complexo WP1. As atribuições das principais bandas de FTIR encontram-se na Tabela 1S. Adicionalmente, a estrutura otimizada obtida por DFT encontram-se na Figura 5S, e os comprimentos de ligação associados encontram-se na Tabela 2S. Tem-se ainda o acompanhamento cinético por espectroscopia de UV-Vis para o complexo cis-[Ru(bpy)2(1-meimN)(H2O)]2+ em acetonitrila, referente a substituição do aquo-complexo de rutênio por acetonitrila (Figura 6S). O estudo de estabilidade de WP1 em meio PBS 7,4 (Figura 7S). A Figura 8S apresenta a curva de viscosidade relativa do Ct-DNA (η/η0)1/3 em função da razão [WP1]/[DNA]. Por fim, tem-se o resultado dos testes de atividade nuclease para o complexo Ru-H2O quando irradiado com luz verde (Figura 9S).

 

AGRADECIMENTOS

Ao CNPq (L. G. F. L. 403838/2021-5 e 302756/2022-1; E. H. S. S. 309010/2021-7; I. C. N. D. 302756/2022-1), CAPES (L. G. F. L. Print 88881.311908/2018-01) e Funcap (L. G. F. L. PS1-0186-00087.01.00/21); FINEP (CV. 01.22.0174.00); CAPES (código de financiamento 001 e PROEX 23038.000509/2020-82) pelo suporte financeiro para o desenvolvimento do presente estudo. Também gostaríamos de agradecer ao CENAUREM (UFC) sob coordenação do Prof. Dr. Edilberto Rocha Silveira por disponibilizar o equipamento de RMN, ao Prof. Dr. Carlos Emanuel de Carvalho Magalhães pela determinação do teor de Ru no LAT (UFC), à Prof. Dra. Judith Pessoa de Andrade Feitosa por disponibilizar o espaço físico do Labpol (UFC) para a realização do ensaio de viscosidade do DNA e ao Centro Nacional de Processamento de Alto Desempenho em São Paulo (CENAPAD-SP) pelas facilidades computacionais.

 

REFERÊNCIAS

1. Matthews, H. K.; Bertoli, C.; de Bruin, R. A. M.; Nat. Rev. Mol. Cell Biol. 2022, 23, 74. [Crossref]

2. Ferlay, J.; Colombet, M.; Soerjomataram, I.; Parkin, D. M.; Piñeros, M.; Znaor, A.; Bray, F.; Int. J. Cancer 2021, 149, 778. [Crossref]

3. Xu, M.; Peng, R.; Min, Q.; Hui, S.; Chen, X.; Yang, G.; Qin, S.; Eur. J. Med. Chem. 2022, 243, 114748. [Crossref]

4. Zigrossi, A.; Hong, L. K.; Ekyalongo, R. C.; Cruz-Alvarez, C.; Gornick, E.; Diamond, A. M.; Kastrati, I.; Oncogene 2022, 41, 1263. [Crossref]

5. Kroschinsky, F.; Stölzel, F.; von Bonin, S.; Beutel, G.; Kochanek, M.; Kiehl, M.; Schellongowski, P.; Critical Care 2017, 21, 89. [Crossref]

6. Feng, L.; Geisselbrecht, Y.; Blanck, S.; Wilbuer, A.; Atilla-Gokcumen, G. E.; Filippakopoulos, P.; Kräling, K.; Celik, M. A.; Harms, K.; Maksimoska, J.; Marmorstein, R.; Frenking, G.; Knapp, S.; Essen, L. O.; Meggers, E.; J. Am. Chem. Soc. 2011, 133, 5976. [Crossref]

7. Sales, D. K. S.; Simplício, L. M. T.; da Silva, C. D. S.; Enju, C. M. B.; Silva, V. B.; Paulo, T. F.; Santos, I. P.; Quadros, H. C.; Meira, C. S.; Soares, M. B. P.; Lopes, L. G. F.; de Sousa, E. H. S.; de Sá, D. S.; Inorg. Chim. Acta 2021, 516, 120125. [Crossref]

8. Pedrosa, P.; Carvalho, A.; Baptista, P. V.; Fernandes, A. R. Em Basic Concepts Viewed from Frontier in Inorganic Coordination Chemistry; Akitsu, T., ed.; IntechOpen: London, 2018, cap. 3. [Crossref]

9. Zoń, A.; Bednarek, I.; Int. J. Mol. Sci. 2023, 24, 7585. [Crossref]

10. de Vries, G.; Rosas-Plaza, X.; van Vugt, M. A. T. M.; Gietema, J. A.; de Jong, S.; Cancer Treat. Rev. 2020, 88, 102054. [Crossref]

11. Fuertes, M. A.; Alonso, C.; Pérez, J. M.; Chem. Rev. 2003, 103, 645. [Crossref]

12. Drzewiecka-Antonik, A.; Rejmak, P.; Klepka, M.; Wolska, A.; Chrzanowska, A.; Struga, M.; J. Inorg. Biochem. 2020, 212, 111234. [Crossref]

13. Hussain, A.; AlAjmi, M. F.; Rehman, M. T.; Amir, S.; Husain, F. M.; Alsalme, A.; Siddiqui, M. A.; AlKhedhairy, A. A.; Khan, R. A.; Sci. Rep. 2019, 9, 5237. [Crossref]

14. Levín, P.; Ruiz, M. C.; Romo, A. I. B.; Nascimento, O. R.; Di Virgilio, A. L.; Oliver, A. G.; Ayala, A. P. ; Diógenes, I. C. N.; León, I. E.; Lemus, L.; Inorg. Chem. Front. 2021, 8, 3238. [Crossref]

15. Romo, A. I. B.; Carepo, M. P.; Levín, P. ; Nascimento, O. R.; Díaz, D. E.; Rodríguez-López, J.; León, I. E.; Bezerra, L. F.; Lemus, L.; Diógenes, I. C. N.; Dalton Trans. 2021, 50, 11931. [Crossref]

16. Ambika, S.; Manojkumar, Y.; Arunachalam, S.; Gowdhami, B.; Sundaram, K. K. M.; Solomon, R. V.; Venuvanalingam, P.; Akbarsha, M. A.; Sundararaman, M.; Sci. Rep. 2019, 9, 2721. [Crossref]

17. Thamilarasan, V. ; Sengottuvelan, N.; Sudha, A.; Srinivasan, P. ; Chakkaravarthi, G.; J. Photochem. Photobiol., B 2016, 162, 558. [Crossref]

18. Lutsenko, I. A.; Loseva, O. V.; Ivanov, A. V.; Malyants, I. K.; Shender, V. O.; Kiskin, M. A.; Eremenko, I. L.; Russ. J. Coord. Chem. 2022, 48, 808. [Crossref]

19. Guan, R.; Xie, L.; Ji, L.; Chao, H.; Eur. J. Inorg. Chem. 2020, 2020, 3978. [Crossref]

20. Kozieł, S.; Komarnicka, U. K.; Ziółkowska, A.; Skórska-Stania, A.; Pucelik, B.; Płotek, M.; Sebastian, V.; Bieńko, A.; Stochel, G.; Kyzioł, A.; Inorg. Chem. Front. 2020, 7, 3386. [Crossref]

21. Canil, G.; Braccini, S.; Marzo, T.; Marchetti, L.; Pratesi, A.; Biver, T.; Funaioli, T.; Chiellini, F.; Hoeschele, J. D.; Gabbiani, C.; Dalton Trans. 2019, 48, 10933. [Crossref]

22. Alessio, E.; Messori, L.; Molecules 2019, 24, 1995. [Crossref]

23. Alessio, E.; Eur. J. Inorg. Chem. 2017, 2017, 1549. [Crossref]

24. Shi, H.; Sadler, P. J.; Br. J. Cancer 2020, 123, 871. [Crossref]

25. Correia, J. H.; Rodrigues, J. A.; Pimenta, S.; Dong, T.; Yang, Z.; Pharmaceutics 2021, 13, 1332. [Crossref]

26. Abreu, F. D.; Paulo, T. D. F.; Gehlen, M. H.; Ando, R. A.; Lopes, L. G. F.; Gondim, A. C. S.; Vasconcelos, M. A.; Teixeira, E. H.; Sousa, E. H. S.; de Carvalho, I. M. M.; Inorg. Chem. 2017, 56, 9084. [Crossref]

27. Nunes, E. D.; Villela, A. D.; Basso, L. A.; Teixeira, E. H.; Andrade, A. L.; Vasconcelos, M. A.; do Nascimento Neto, L. G.; Gondim, A. C. S.; Diógenes, I. C. N.; Romo, A. I. B.; Nascimento, O. R.; Zampieri, D.; Paulo, T. F.; de Carvalho, I. M. M.; Lopes, L. G. F.; Sousa, E. H. S.; Inorg. Chem. Front. 2020, 7, 859. [Crossref]

28. Farrer, N. J.; Salassa, L.; Sadler, P. J.; Dalton Trans. 2009, 48, 10690. [Crossref]

29. Cândido, M. C. L.; Oliveira, A. M.; Silva, F. O. N.; Holanda, A. K. M.; Pereira, W. G.; Sousa, E. H. S.; Carneiro, Z. A.; Silva, R. S.; Lopes, L. G. F.; J. Braz. Chem. Soc. 2015, 26, 1824. [Crossref]

30. Juarranz, A.; Jaén, P. ; Sanz-Rodríguez, F.; Cuevas, J.; González, S.; Clin. Transl. Oncol. 2008, 10, 148. [Crossref]

31. Kwiatkowski, S.; Knap, B.; Przystupski, D.; Saczko, J.; Kędzierska, E.; Knap-Czop, K.; Kotlińska, J.; Michel, O.; Kotowski, K.; Kulbacka, J.; Biomed. Pharmacother. 2018, 106, 1098. [Crossref]

32. Agostinis, P. ; Berg, K.; Cengel, K. A.; Foster, T. H.; Girotti, A. W.; Gollnick, S. O.; Hahn, S. M.; Hamblin, M. R.; Juzeniene, A.; Kessel, D.; Korbelik, M.; Moan, J.; Mroz, P.; Nowis, D.; Piette, J.; Wilson, B. C.; Golab, J.; Ca-Cancer J. Clin. 2011, 61, 250. [Crossref]

33. Monro, S.; Colón, K. L.; Yin, H.; Roque, J.; Konda, P.; Gujar, S.; Thummel, R. P.; Lilge, L.; Cameron, C. G.; McFarland, S. A.; Chem. R e v. 2019, 119, 797. [Crossref]

34. Kulkarni, G. S.; Lilge, L.; Nesbitt, M.; Dumoulin-White, R. J.; Mandel, A.; Jewett, M. A. S.; Eur. Urol. Open Sci. 2022, 41, 105. [Crossref]

35. Bonnet, S.; Dalton Trans. 2018, 47, 10330. [Crossref]

36. Lameijer, L. N.; Brevé, T. G.; van Rixel, V. H. S.; Askes, S. H. C.; Siegler, M. A.; Bonnet, S.; Chem. - Eur. J. 2018, 24, 2709. [Crossref]

37. Cuello-Garibo, J. A.; Meijer, M. S.; Bonnet, S.; Chem. Commun. 2017, 53, 6768. [Crossref]

38. Manchester, K. L.; Biotechniques 1996, 20, 968. [Crossref]

39. Sullivan, B. P.; Salmon, D. J.; Meyer, T. J.; Inorg. Chem. 1978, 17, 3334. [Crossref]

40. Sá, D. S.; Fernandes, A. F.; Silva, C. D. S.; Costa, P. P. C.; Fonteles, M. C.; Nascimento, N. R. F.; Lopes, L. G. F.; Sousa, E. H. S.; Dalton Trans. 2015, 44, 13633. [Crossref]

41. Bowden, W. L.; Little, W. F.; Meyer, T. J.; J. Am. Chem. Soc. 1976, 98, 444. [Crossref]

42. Barrette, W. C.; Johnson, H. W.; Sawyer, D. T.; Anal. Chem. 1984, 56, 1890. [Crossref]

43. Rowston, W. B.; Ottaway, J. M.; Anal. Lett. 1970, 3, 411. [Crossref]

44. Frisch, M. J.; Trucks, G. W.; Schlegel, H. B.; Scuseria, G. E.; Robb, M. A.; Cheeseman, J. R.; Scalmani, G.; Barone, V.; Petersson, G. A.; Nakatsuji, H.; Li, X.; Caricato, M.; Marenich, A.; Bloino, J.; Janesko, B. G.; Gomperts, R.; Mennucci, B.; Hratchian, H. P.; Ortiz, J. V.; Izmaylov, A. F.; Sonnenberg, J. L.; Williams-Young, D.; Ding, F. L.; Egidi, F.; Goings, J.; Peng, B.; Petrone, A.; Henderson, T.; Ranasinghe, D.; Zakrzewski, V. G.; Gao, J.; Rega, N.; Zheng, G.; Liang, M. H. W.; Ehara, M.; Toyota, K.; Fukuda, R.; Hasegawa, J.; Ishida, M.; Nakajima, T.; Honda, Y.; Kitao, O.; Nakai, H.; Vreven, T.; Throssell, K.; Montgomery Junior, J. A.; Peralta, J. E.; Ogliaro, F.; Bearpark, M.; Heyd, J. J.; Brothers, E.; Kudin, K. N.; Staroverov, V. N.; Keith, T.; Kobayashi, R.; Normand, J.; Raghavachari, K.; Rendell, A.; Burant, J. C.; Iyengar, S. S.; Tomasi, J.; Cossi, M.; Millam, J. M.; Klene, M.; Adamo, C.; Cammi, R.; Ochterski, J. W.; Martin, R. L.; Morokuma, K.; Farkas, O.; Foresman, J. B.; Fox, D. J.; Gaussian 09, revisão D01; Gaussian Inc., Wallingford, CT, 2009.

45. Tomasi, J.; Mennucci, B.; Cammi, R.; Chem. Rev. 2005, 105, 2999. [Crossref]

46. O'Boyle, N. M.; Tenderholt, A. L.; Langner, K. M.; J. Comput. Chem. 2007, 29, 839. [Crossref]

47. Andersson, M. P.; Uvdal, P.; J. Phys. Chem. A 2005, 109, 2937. [Crossref]

48. Venugopal, N.; Krishnamurthy, G.; Bhojya Naik, H. S.; Manohara, J. D.; J. Inorg. Organomet. Polym. Mater. 2020, 30, 2608. [Crossref]

49. Bouchmella, K.; Dutremez, S. G.; Alonso, B.; Mauri, F.; Gervais, C.; Cryst. Growth Des. 2008, 8, 3941. [Crossref]

50. Clarke, M. J.; Bailey, V. M.; Doan, P. E.; Hiller, C. D.; LaChance-Galang, K. J.; Daghlian, H.; Mandal, S.; Bastos, C. M.; Lang, D.; Inorg. Chem. 1996, 35, 4896. [Crossref]

51. Silva, F. O. N.; Araújo, S. X. B.; Holanda, A. K. M.; Meyer, E.; Sales, F. A. M.; Diógenes, I. C. N.; Carvalho, I. M. M.; Moreira, I. S.; Lopes, L. G. F.; Eur. J. Inorg. Chem. 2006, 2, 2020. [Crossref]

52. Ishak, N. N. M.; Jamsari, J.; Ismail, A. Z.; Tahir, M. I. M.; Tiekink, E. R. T.; Veerakumarasivam, A.; Ravoof, T. B. S. A.; J. Mol. Struct. 2019, 1198, 126888. [Crossref]

53. Sasahara, G. L.; Gouveia Júnior, F. S.; Rodrigues, R. O.; Zampieri, D. S.; Fonseca, S. G. C.; Gonçalves, R. C. R.; Athaydes, B. R.; Kitagawa, R. R.; Santos, F. A.; Sousa, E. H. S.; Dias, A. T. N.; Lopes, L. G. F.; J. Inorg. Biochem. 2020, 206, 111048. [Crossref]

54. Ebadi, M.; Lever, A. B. P.; Inorg. Chem. 1999, 38, 467. [Crossref]

55. Trasatti, S.; Pure Appl. Chem. 1986, 58, 955. [Crossref]

56. Bezerra, L. F.; Paulo, T. F.; de Carvalho, I. M. M.; Gouveia Júnior, F. S.; Lopes, L. G. F.; Diógenes, I. C. N.; Dyes Pigm. 2023, 216, 111375. [Crossref]

57. Aranzaes, J. R.; Daniel, M. C.; Astruc, D.; Can. J. Chem. 2006, 84, 288. [Crossref]

58. Inglez, S. D.; Lima, F. C. A.; Silva, A. B. F.; Simioni, A. R.; Tedesco, A. C.; Daniel, J. F. S.; Lima-Neto, B. S.; Carlos, R. M.; Inorg. Chem. 2007, 46, 5744. [Crossref]

59. Inglez, S. D.; Lima, F. C. A.; Camilo, M. R.; Daniel, J. F. S.; Santos, E. D. A.; Lima-Neto, B. S.; Carlos, R. M.; J. Braz. Chem. Soc. 2010, 21, 157. [Crossref]

60. Sirajuddin, M.; Ali, S.; Badshah, A.; J. Photochem. Photobiol., B 2013, 124, 1. [Crossref]

61. Brabec, V. ; Kasparkova, J.; Coord. Chem. Rev. 2018, 376, 75. [Crossref]

62. Arjmand, F.; Jamsheera, A.; Spectrochim. Acta, Part A 2011, 78, 45. [Crossref]

63. Kellett, A.; Molphy, Z.; Slator, C.; McKee, V. ; Farrell, N. P.; Chem. Soc. R e v. 2019, 48, 971. [Crossref]

64. Martins, P. H. R.; Romo, A. I. B.; da Silva, F. O. N.; Nascimento, O. R.; Rodríguez-López, J.; Diógenes, I. C. N.; Lopes, L. G. F.; Sousa, E. H. S.; J. Inorg. Biochem. 2023, 238, 112052. [Crossref]

65. Pyle, A. M.; Rehmann, J. P.; Meshoyrer, R.; Turro, N. J.; Barton, J. K.; Kumar, C. V.; J. Am. Chem. Soc. 1989, 111, 3051. [Crossref]

66. Miyahara, T.; Nakatsuji, H.; Sugiyama, H.; J. Phys. Chem. A 2013, 117, 42. [Crossref]

67. Chen, Z.; Wang, X.; Li, Y.; Guo, Z.; Inorg. Chem. Commun. 2008, 11, 1392. [Crossref]

68. Chang, Y. M.; Chen, C. K. M.; Hou, M. H.; Int. J. Mol. Sci. 2012, 13, 3394. [Crossref]

69. Kumar, P.; Gorai, S.; Kumar Santra, M.; Mondal, B.; Manna, D.; Dalton Trans. 2012, 41, 7573. [Crossref]

70. Gisselfält, K.; Lincoln, P.; Nordén, B.; Jonsson, M.; J. Phys. Chem. B 2000, 104, 3651. [Crossref]

71. Deshpande, M. S.; Kumbhar, A. A.; Kumbhar, A. S.; Kumbhakar, M.; Pal, H.; Sonawane, U. B.; Joshi, R. R.; Bioconjugate Chem. 2009, 20, 447. [Crossref]

On-line version ISSN 1678-7064 Printed version ISSN 0100-4042
Qu�mica Nova
Publica��es da Sociedade Brasileira de Qu�mica
Caixa Postal: 26037 05513-970 S�o Paulo - SP
Tel/Fax: +55.11.3032.2299/+55.11.3814.3602
Free access

GN1