JBCS



12:22, sáb out 25

Acesso Aberto/TP



Artigo

Amazon acai and pineapple residues induce the enzyme laccase in Pleurotus ostreatus: application to bisphenol a bioremediation

Jhessica Cavalcante de Souza GolveiaI; Elaine Sousa NunesI; Thiago Souza BulhõesI; Jerônimo Raimundo de Oliveira NetoII; Luiz Carlos da CunhaII; Luiza Cintra CamposIII; Mariângela Fontes SantiagoI; Fernando SchimidtIV,*

I. Laboratório de Enzimologia e Materiais Bioativos (LENZIBIO), Universidade Federal de Goiás, 74605-170 Goiânia - GO, Brasil
II. Núcleo de Estudos e Pesquisas Tóxico-Farmacológicas (NEPE), Universidade Federal de Goiás, 74605-170 Goiânia - GO, Brasil
III. Department of Civil, Environmental and Geomatic Engineering, University College London, WC1E 6BT London, United Kingdom
IV. Departamento de Química, Instituto Federal de Educação, Ciência e Tecnologia de Goiás, 74270-040 Goiânia - GO, Brasil

Received: 11/09/2023
Accepted: 02/23/2024
Published online: 05/15/2024

Endereço para correspondência

*e-mail: fernando.quimica@ifg.edu.br

RESUMO

Bisphenol A (BPA), an endocrine disruptor used in different commercial polymers, is a persistent pollutant commonly found in effluents. Conventional wastewater treatment processes have low chemical removal efficiency and are expensive. This work evaluated BPA removal using laccase enzyme produced from white rot fungus Pleurotus ostreatus. For the enzymatic production, residues of acai berry and pineapple were used as laccase inducers. The use of natural inducers led to a high enzyme production (1139 and 1031 U mL-1 to acai and pineapple, respectively). Bisphenol A was removed to a concentration lower than LOD (limit of detection) after 4 h. The degradation mechanism of BPA occurred by oxidation of methyl to hydroxymethyl group in a propane portion, with breakdown of the aromatic ring. The developed technology brought to the scene a new green, viable methodology, using vegetable waste, adding value to these residues and bringing an alternative to the BPA treatment.

Palavras-chave: polyphenoloxidase; pollutant; biodegradation; endocrine disruptor.

INTRODUCTION

Bisphenol A (BPA), known as an endocrine disrupting chemical, has been widely used in the production of polymers such as polycarbonate plastics and epoxy resins, including thermal paper, food containers, water pipes and electronics.1-4

Animal testing and epidemiological studies have shown that BPA may be related to a wide range of adverse health effects, including diabetes, reproductive disorders, cardiovascular diseases, breast cancer and birth defects.5-7 Due to concerns about widespread human exposure and potential adverse health effects, regulations on the production and use of BPA came into effect in China, Europe, and USA.8,9 Human exposure to BPA is believed to occur primarily through diet, as BPA can leach into food or water, but exposures also occur through inhalation and dermal contact with dust, air and/or water.10 Given the widespread use of BPA in consumer applications and continuous exposure, BPA has been found in a measurable amount in urine.11 Liu et al.12 examines the widespread use of bisphenol analogues (especially bisphenol S (BPS), bisphenol F (BPF), and bisphenol AF (BPAF)) as substitutes for BPA in various industries. Toxicity assessments indicate moderate toxicity for most BPs, except BPS and BPP. The ecological risk quotient (RQ) suggests that BPF poses the highest ecological risk in China, Japan, and South Korea, emphasizing the need for further investigation into bisphenol occurrence and their neurotoxic effects on aquatic organisms.

Wastewater is the main source of BPA contamination in the aquatic environment as the average reported removal efficiency for BPA by full-scale treatment plants was 84%,13 suggesting that the biological systems investigated (e.g., activated sludge, biological nutrient removal, membrane bioreactor, trickling filter) are not effectively in removing BPA. Despite the low BPA degradation by bacteria, it is believed that biological processes are the most cost-effective treatment for removal of BPA and its analogues from wastewater.14,15 Laccase is an enzyme produced by basidiomycete fungi, capable of degrading molecules containing phenolic groups.16,17 This is because plant biomass can be rich in phenolic compounds,17 which act as enzyme inducers.

On the art of BPA degradation by laccases, 966 works were published between 2018 and 2023 with the keywords "bisphenol A" and "laccase" after search at ScienceDirect and PubMed databases. This shows the enormous interest in this methodology. As for the search with the words "bisphenol A" and "pineapple" (Ananas comosus) or "bisphenol A" and "acai" (Euterpe oleracea) returned no results for the first and only 15 results for the second, in the same period. This shows the innovative nature of this work.

Golveia et al.,18 for example, obtained good production of fungal laccase using cocoa disposal and applying it to BPA bioremediation. The same authors obtained similar results using cupuaçu residue.17,18 There is also the work of Freitas et al.19 who used orange waste in the production of fungal laccase for application in the degradation of BPA. It was the first mention found in the literature about the application of crude laccase extract in the degradation of BPA.19 However, there are no studies in the literature that have used acai and pineapple residue for this purpose.

Brazil is one of the countries with the highest agricultural production in the world.20 As a result, large quantities of lignocellulosic waste are produced, which can cause several environmental problems in the absence of proper disposal. Thus, the interest in forms of sustainable use and adding value to agro-industrial waste has grown, and the development of bioprocesses for the use of these materials has gained prominence.18,19,21,22 This work aims to use plant residues of pineapple and acai in the induction of the laccase enzyme and apply the enzymatic extract in the bioremediation of BPA in aqueous solution.

 

EXPERIMENTAL

Chemicals

Analytical grade syringaldazine, 2,5-xylidin, dinitrosalicylic acid reagent (DNS) and catalase are from Sigma-Aldrich (St. Louis, MO, USA). The ethanol, tris-HCl, sodium dodecyl sulfate (SDS), bromophenol blue, glycerol, β-mercapto ethanol, 2,2'-azino-bis(3-ethylbenzothiazoline-6-sulfonic acid) (or ABTS), trichloroacetic acid (TCA) and formic acid are from Merck (Billerica, USA). The solvents for high-performance liquid chromatography (HPLC), acetonitrile and methanol, are from Sigma-Aldrich (St. Louis, MO, USA). The CuSO4.5H2O and the sodium acetate buffer are from Vetec (São Paulo, Brazil). All chemical reagents were of analytical grade.

Vegetable biomass

Pineapple (Ananas comosus) residues was acquired in a free market in the region of Goiânia, GO, Brazil, and acai berry (Euterpe oleracea) residues were donated by a small juice pulp producer from Belém, PA, Brazil. The residues were dried in a forced air oven at 40 ºC (Fabbe-Prisma, Brazil), crushed in a standardized granulometry 60 mesh in a knife mill Willye (Tecnal, Brazil) to obtain a powder. The residues were evaluated for the presence of metals and other trace elements. For pineapple, X-ray fluorescence spectrometry (Thermo, model ARL Perform'x, USA) was used, following the methodology of fundamental quantitative parameters, defined by the manufacturer, for the quantification of the content of the elements in general samples. For acai, the nitrogen was determined by distillation (semi-micro Kjeldahl method).23 The potassium content was obtained by flame photometry. Phosphorus, calcium, magnesium, copper, iron, manganese, and zinc were analysed by atomic absorption24 spectrometry (PerkinElmer, model AA200, USA).

Laccase production

The strain of the fungus Pleurotus ostreatus used in this work was provided by Microbial Systematics and Physiology Laboratory, Department of Food Sciences, Faculty of Food Engineering, State University of Campinas (Unicamp) and are part of the collection of the Enzymology Laboratory of the Faculty of Pharmacy, Federal University of Goiás (UFG). The culture was maintained in potato dextrose agar (PDA) medium and stored at 4 ºC. For laccase production, 250 mL Erlenmeyer flasks were autoclaved at 1 atm in 120 ºC for 20 min, individually containing each vegetable residue (1% m/v) in 120 mL of the PDB medium (0.5%). Then, ten 6 mm discs of mycelium grown in PDA were inoculated.

With the hypothesis that the residue had carbohydrate in its composition, another group was developed with the culture medium without the presence of dextrose. As a negative control, one had the medium without the residue and the positive control was done following the methodology of Garcia et al.25 (medium enriched with the synthetic inductor composed of 0.0005% CuSO4.5H2O and 0.4 mmol L-1 2,5-xylidine).

All groups were performed in triplicate with the Erlenmeyer flasks kept under agitation at 150 rpm, being the enzyme production evaluated after various time periods.

Enzymatic activity and zymogram

Laccase activity was determined every 24 h. Syringaldazine (Ɛ525 nm = 6500 L mol-1 cm-1) was used as a substrate, as described by Szklarz et al.,26 with modifications. The assay used 10 μL of crude extract, 890 μL of 50 mol L-1 sodium acetate buffer (pH 5.0) and 100 μL of syringaldazine. The reaction started with the addition of syringaldazine and was monitored every minute for 5 min at 525 nm in a spectrophotometer at room temperature.

In order to estimate the kinetics of enzyme production, zymograms were also made. For this, 12% polyacrylamide gel in pH 4 acetate buffer was used. The enzymatic sample for each day was precipitated with 100 μL of 100% TCA and then homogenized and incubated in an ice and water bath for 1 h. Soon afterwards, they were subjected to centrifugation at 10000 G, 4 ºC for 15 min. The pellet resulting from the centrifugation was washed twice with 500 μL of cold acetone and centrifuged again under the same conditions mentioned above. The pellet was resuspended in 15 μL of sample buffer (200 mmol L-1 tris-HCl, pH 6.8; 4.0% sodium dodecyl sulfate (SDS); 0.1% bromophenol blue; 20% glycerol and 4.0% β-mercapto ethanol). Then, 900 μL were added to the wells and the run took place in an electrophoresis system, being conducted at room temperature with an initial voltage of 90 V during the run in the concentrating gel and 120 V until the end of the procedure. After the end of the run, the enzyme was renatured by incubating the gel in 50 mmol L-1 acetate buffer at pH 4, 5 and 6, for 45 min (15 min each). The gel was then stained with a 0.5 mmol L-1 ABTS solution in 50 mmol L-1 acetate buffer pH 5 for 5 min, having as positive control a positive enzyme sample, quantified with syringaldazine on the same day (adapted from Gonçalvez and Steiner).27

Catalase test

Catalase test was followed by the methodology developed by Mayer and Staples.28 The 5 μL of crude enzymatic extract with 50 μL of catalase (5 U) were added for 30 min, in the presence of 845 μL of buffer. The residual enzymatic activity was determined, using syringaldazine as substrate. The tests were carried out in triplicate.

Bioremediation

A volume of 500 U of enzymatic activity was added individually for each crude extract induced with the residues in 150 mL Erlenmeyer flasks, containing 5 mL of acetate buffer 50 mmol L-1 at pH 5.0 and 5 mL of BPA solution in distilled water (Sigma Chemical Company, USA) 2 mg L-1 (final concentration of 1 mg L-1). The flasks were placed under stirring at 150 rpm at temperature of 28 ºC. A sample was taken before the beginning of the experiment (C0) and after 2, 4, 6, 8, 10, 12, 24 and 48 h. At the end of each time, 100 μL solution of 1 mol L-1 NaOH was added to stop the reaction and then was analyzed. One group without BPA and another with inactivated enzyme were used as negative controls. The tests were carried out in triplicate.

BPA concentration

Quantitative analyses of BPA degradation were carried out at the Nucleus of Toxical Pharmacological Studies and Research (NEPET) at the Federal University of Goiás (UFG). High-performance liquid chromatography (LC-20A, Shimadzu, Kyoto, Japan) was used equipped with low pressure quaternary pump, autosampler and SPD-M20A diode array detector (DAD). Analysis was performed on RP-C18 ACE® (100 × 4.6 mm, 5 μm) at temperature of 35 ºC. Mobile phase was a mixture of acetonitrile-formic acid 0.2% (50:50, v/v) on isocratic elution mode at a flow rate of 1.0 mL min-1. The injection volume was 50 μL and detection was performed at a wavelength of 278 nm. Calibration curves were constructed in the range 0.1-1.0 mg L-1 detection and quantification limits (LOD - limit of detection and LOQ - limit of quantification) were determined by the signal to noise ratio (S/N), 3 and 10, respectively.

BPA degradation products

The samples referring to the reaction time after 2, 6 and 12 h were analysed in ultra-high-performance liquid chromatography tandem mass spectrometry (UHPLC MS/MS). The Ultimate 3000 liquid chromatograph (Thermo Scientific, San Jose, CA, USA) was used with an Agilent - C18 column (4.6 × 100 mm, 3 μm), coupled to the Q-exactive high resolution mass spectrometer (Thermo Scientific) with H-ESI source, operating in negative mode, using spray voltage 3.0 kV, sheath gas 30, auxiliary gas 15, capillary temperature 300 ºC, auxiliary gas temperature 300 ºC, tube lens 50 and mass range m/z 90-300. The analysis by UHPLC was performed with deionized water (mobile phase A) and acetonitrile (mobile phase B). The gradient programming started with 90:10 (A:B %), 100 (B%) in 10 min, remaining for 5 min. The running time was 15 min with a flow of 0.4 mL min-1, injection volume 10 µL and column temperature 20 ºC.

Statistical analysis

Statistical analysis was performed using one-way analysis of variance (ANOVA) followed by Tukey's multiple comparisons post hoc test. All statistical analyses were performed by the GraphPad Prism 6 software.29

 

RESULTS AND DISCUSSION

Vegetable biomass

Both residues presented a diversity of elements in their composition (Tables 1 and 2). Mineral elements (phosphorus, sulfur, potassium, calcium, magnesium, iron and chlorine) and trace elements (manganese, copper, zinc), such as those found in residues, contribute to fungal development and can act as enzymatic co-factors playing a role in regulation of extracellular enzymatic activities.30

 

 

 

 

Enzymatic activity and zymogram

The enzymatic activity of the broths with acai and pineapple (Figure 1), both with (882.73 and 603.58 U mL-1), and without dextrose (1139.46 and 1031.54 U mL-1) had a better production than that of the negative control (124.61 U mL-1) and better or equal to that positive control (726.92 U mL-1).

 


Figure 1. Enzymatic activity for the extract obtained by growing Pleurotus ostreatus in the presence of pineapple residue (a) and acai residue (b) with and without added sugar in the growth medium, over 8 days for pineapple and 10 days for acai. The control consisted of an extract produced by the same fungus, in the absence of plant residues

 

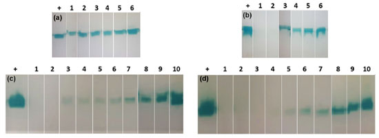
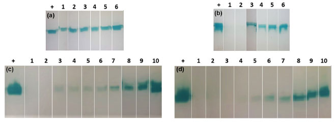
In the zymogram gel shown in Figure 2, it is possible to observe a similar pattern of Figure 1. The enzymatic broth enriched with pineapple, when with glucose, had activity since the 1st day of the experiment (Figure 2a) and without dextrose it started to have more significant values of activity on the 3rd day (Figure 2b). In the enzymatic broth enriched with acai, a more expressive activity started in both tests (Figures 2c and 2d) from the 8th day, in which an increase in activity shown in Figure 1b started. The formation of different bands in the same column was not observed, assuming that there are no different isoforms of the enzyme.

 


Figure 2. Zymogram for enzymatic extracts laccase produced by Pleurotus ostreatus fungus induced with pineapple residue in the presence (a) and absence (b) of sugar over 6 days (columns 1-6). Enzymatic extracts of acai residue-induced laccase in the presence (c) and absence (d) of sugar in the culture medium over 10 days (columns 1-10). The column named as "+" concerns the positive control of laccase extract with known activity

 

Bearing in mind that groups without the presence of glucose had enzyme production similar to or greater than that of the other groups, the subsequent analyses were carried out only with this group.

Catalase

Both the enzymatic broth enriched with acai and pineapple did not show a reduction in enzyme activity after incubation with catalase. Catalase is an enzyme capable of decomposing H2O2 quickly, catalysing it in water and oxygen.30 In order to not account for the activity of peroxidases, the enzyme extract was incubated with the catalase. Therefore, all subsequent activity identified with the use of syringaldazine will be due to the oxidation of the substrate by the laccase. In addition, it can be inferred that the enzyme broth acquired in this study is composed exclusively by laccase.

Bioremediation

Methodology by HPLC-DAD proved to be adequate, with linearity having an excellent correlation coefficient r > 0.99. The LOD and LOQ achieved were 0.02 and 0.1 mg L-1, respectively. With the enzymatic extract induced with the pineapple, a bioremediation of around 70% was obtained in 4 h of reaction reaching values below the LOD in about 10 h (Table 3). With enzymatic broth made with acai, even more satisfactory results were obtained, the compound reached values below the LOD in 2 h (Table 3). As in 2 h a massive BPA remediation had already occurred, mass spectrometry was performed only with the test using pineapple, considering that only in this case was possible to identify the degradation path, not just the final molecule of the degradation.

 

 

The degradation path proposed by Chhaya and Gupte31 was identified. The name of the compound, the molecular formula, the molecular weight detected, the retention time and error, in ppm, can be seen in Table 4 and the spectra referring to the molecules in Figure 3. In the 2-h sample, it was already possible to find all the molecules. According to the authors, the degradation of BPA starts from the oxidation of the methyl to hydroxymethyl group of the propane portion to form 4,4'-(propane-2,2 diethyl) diphenol which is then oxidized to 3,3-bis(4-hydroxylphenyl) butanal and finally 2-(1-(4-hydroxyphenyl) vinyl pent-2-enal is generated due to the opening of the aromatic ring by the cleavage of the CC bond.

 

 

 


Figure 3. Mass spectrum and structure of the detected compounds after 2 h of bioremediation: (a) 4,4'-(propane-2,2 diyl) diphenol; (b) 4,4'-(2-hydroxypropane- 1,2 diyl) diphenol; (c) 3,3-bis(4-hydroxylphenyl) butanal; (d) 2-(1-(4-hydroxyphenyl) vinyl) pent-2-enal

 

Although ecotoxicity tests on the degradation products have not been carried out, it is expected that such molecules are less toxic than their precursor. In the work of Freitas et al.,19 it was found that laccase extract from P. ostreatus was capable of bioremediating BPA. Its toxicity tests (Microtox test - inhibition of bioluminescence emitted by Vibrio fischeri) showed that the degradation products were less toxic than BPA. Czarny-Krzyminska et al.,32 carried out a survey with several toxicological analyses on BP and derivatives in the aquatic environment, in several papers published in recent years. Tarafdar et al.,11 presented a review work, where the sources provided discuss the toxicity of BPA and its effects on various metabolic systems, on long-term health. Niu et al.33 highlight the secondary environmental risks arising from transforming alternatives to bisphenol through conventional and emerging treatment processes. They also mention that photolysis and photocatalysis generate hydroxylated and bond cleavage transformation products with less toxicity compared to other processes.

Laccase production

Agricultural organics residues have been used as laccase inducers because they can support the enzyme-producing microorganisms while being excellent substrates that can contain nutrients and inductors in their composition.32,33

Studies show that the lignin and cellulose from the residues stimulate laccase production.34 In addition to lignocellulose, some residues may contain in its composition other substances that can contribute to enzymatic production, such as crude protein, metal ions and even sugars, as occurred in this work, removing the need to add glucose to the medium.35,36

Both pineapple and acai residues have a diversity of elements in their composition. Mineral elements (phosphorus, sulfur, potassium, calcium, magnesium, iron and chlorine) and trace elements (manganese, copper, zinc). These elements contribute to fungal development and can act as enzymatic co-factors playing a role in regulation of extracellular enzymatic activities.37 Baldrian etal.35 observed that metals such as lead, copper, zinc and manganese increased the laccase activity in P. ostreatus, with the latter also increasing the degradation rate of the waste used.

Copper is essential in the synthesis of the laccase enzyme active site. As can be seen, there is 7.33 mg kg-1 of copper in the acai residue. Bassani et al.36 found 7 mg kg-1 of copper in pineapple bagasse. Fabrini et al.37 observed an increase in laccase activity by 112% with Pycnoporus sanguineus after adding copper to the culture medium, which is one of the most well-established laccase inducers in the literature. The content of these elements analyzed may explain the high production of the enzyme, as well as adding value to the waste as a potential enzyme inducer.

Bioremediation of BPA

Laccase has already defined as one of its mechanisms the ability to catalyse oxidation reactions of phenolic compounds, which may explain the high degradability of BPA. As the compound has two phenolic structures in its molecule, it can be assumed that the laccase acts biotransforming or biodegrading this compound by oxidizing its aromatic rings, which were observed in the identified degradation pathway. According to Chhaya and Gupte,31 this pathway generates the expected treatment, which is the reduction of BPA toxicity, since the formed molecules have a greater polarity than the original molecule, which causes a decrease in the capacity of penetration of the compounds in the human cell or tissue.

Even though the initial BPA concentration used in the experiment is relatively low (1 mg L-1 = 1000 μg L-1), it is still relatively higher than the actual concentrations found in contaminated environments38 of approximately 150 μg L-1. However, both enzymes induced with acai and pineapple were effective in completely degrading BPA initial concentration to almost nil at the end of the experiment. Our results agree well with the literature. For example, Hongyan et al.39 found complete degradation of 5 and 10 mg L-1 of BPA after 24 h with the lacquer of Trametes versicolor with the same reaction volume as our work (i.e., 10 mL). Also, Olajuyigbe et al.40 and Brugnari et al.41 observed, respectively, a 48.2% degradation of 100 µM BPA with the Cyberlindnera fabianni laccase after 24 h of reaction and almost a total degradation of 100 mg L-1 with the P.ostreatus laccase in 60 min. Both also reported that the enzyme in immobilized form showed similar rates of degradation of the free enzyme, although slightly more efficient, but for longer experimental periods, immobilized enzymes offer more advantages in the thermal stability and storage of the enzyme, as well as offering possibility of reusing it, which reached 15 cycles by the second group mentioned above.

After the maximum time of each experiment, there was no reduction in the amount of BPA in the controls that contained only the compound and buffer (C0), therefore, it is suggested that spontaneous degradation of the molecule did not occur.

It is also worth mentioning that the procedures were performed using crude extract, not purified enzyme. In this way, it was not necessary to use expensive enzyme separation and purification steps and it still dispenses the addition of mediators to the reaction medium, since the crude extract contains natural mediators produced by the fungus.42

 

CONCLUSIONS

The developed technology brought to the scene a new green, viable methodology, using inputs from agro-industrial waste, adding value to these residues and bringing an alternative to the existing physical and chemical treatments. The results obtained with the residue of acai and pineapple for the production of laccases, demonstrate that the production of the enzyme is efficient even in poor nutrient broth when there is the addition of these biomass residues in the medium, as well as these laccases can be an alternative in the remediation of BPA, considering that they had a high potential for removal. Thus, the results obtained here provide some relevant information about the production of enzymes in a simple and cheap way using fruit residues, as well as a small contribution to the removal of micropollutants in the aqueous matrix.

 

SUPPLEMENTARY MATERIAL

Complementary material for this work is available at http://quimicanova.sbq.org.br/, as a PDF file, with free access.

 

ACKNOWLEDGMENTS

We were supported by the Conselho Nacional de Desenvolvimento Científico e Tecnológico (CNPq), grant number 311349/2018-8 (PQ-2018) and also Fundação de Amparo a Pesquisa de Goiás (FAPEG).

 

REFERENCES

1. Howdeshell, K. L.; Hotchkiss, A. K.; Thayer, K. A.; Vandenbergh, J. G.; Vom Saal, F. S.; Nature 1999, 401, 763. [Crossref]

2. World Health Organization (WHO); https://www.who.int/publications/i/item/toxicological-and-health-aspects-of-bisphenol-a, accessed in April 2024.

3. Liao, C.; Kannan, K.; J. Agric. Food Chem. 2013, 61, 4655. [Crossref]

4. Chen, D.; Kannan, K.; Tan, H.; Zheng, Z.; Feng, Y. L.; Wu, Y.; Widelka, M.; Environ. Sci. Technol. 2016, 50, 5438. [Crossref]

5. Rochester, J. R.; Reprod. Toxicol. 2013, 42, 132. [Crossref]

6. Giulivo, M.; Alda, M. L.; Capri, E.; Barceló, D.; Environ. Res. 2016, 151, 251. [Crossref]

7. Ziv-Gal, A.; Flaws, J. A.; Fertil. Steril. 2016, 106, 827. [Crossref]

8. Kärrman, A.; Ericson, I.; VanBavel, B.; Ola, D. P.; Aune, M. G. A.; Ligneli, S.; Lindström, G.; Environ. Health Perspect. 2007, 115, 226. [Crossref]

9. Migeot, V.; Dupuis, A.; Cariot, A.; Albouy-Llaty, M.; Pierre, F.; Rabouan, S.; Environ. Sci. Technol. 2013, 47, 13791. [Crossref]

10. Van Woerden, I.; Bruening, M.; Montresor-López, J.; Payne-Sturges, D. C.; Environ. Res. 2019, 176, 108515. [Crossref]

11. Tarafdar, A.; Sirohi, R.; Balakumaran, P. A.; Reshmy, R.; Madhavan, A.; Sindhu, R.; Binod, P.; Kumar, Y.; Kumar, D.; Sim, S. J.; J. Hazard. Mater. 2022, 423, 127097. [Crossref]

12. Liu, J.; Zhang, L.; Lu, G.; Jiang, R.; Yan, Z.; Li, Y.; Ecotoxicol. Environ. Saf. 2021, 208, 111481. [Crossref]

13. Melcer, H.; Klecka, G.; Water Environ. Res. 2011, 83, 650. [Crossref]

14. Liu, Z. H.; Kanjo, Y.; Mizutani, S.; Sci. Total Environ. 2009, 407, 4975. [Crossref]

15. Liu, Z. H.; Lu, G. N.; Yin, H.; Dang, Z.; Rittmann, B.; Environ. Sci. Technol. 2015, 49, 5288. [Crossref]

16. Agrawal, K.; Chaturvedi, V.; Verma, P.; Bioresources and Bioprocessing 2018, 5, 4. [Crossref]

17. Golveia, J. C. S.; Santiago, M. F.; Sales, P. T. F.; Sartoratto, A.; Ponezi, A. N.; Thomaz, D. V.; Gil, E. S.; Bara, M. T. F.; Prep. Biochem. Biotechnol. 2018, 48, 541. [Crossref]

18. Golveia, J. C. S.; Bara, M. T. F.; Santiago, M. F.; Campos, L. C.; Schimidt, F.; J. Braz. Chem. Soc. 2020, 31, 2023. [Crossref]

19. Freitas, E. N.; Bubna, G. A.; Brugnari, T.; Kato, C. G.; Nolli, M.; Rauen, T. G.; Moreira, R. F. P. M.; Peralta, R. A.; Bracht, A.; Souza, C. G. M.; Peralta, R. M.; Chem. Eng. J. 2017, 330, 1361. [Crossref]

20. Economic Research Service, U. S. Departament of Agriculture (USDA), https://www.ers.usda.gov/amber-waves/2022/september/brazil-s-momentum-as-a-global-agricultural-supplier-faces-headwinds, accessed in April 2024.

21. Parenti, A.; Muguerza, E.; Redin, I. A.; Omarini, A.; Conde, E.; Alfaro, M.; Castanera, R.; Santoyo, F.; Ramírez, L.; Pisabarro, A. G.; Bioresour. Technol. 2013, 133, 142. [Crossref]

22. Maldonado, R. F.; Ribeiro, L. F.; Furtado, G. P.; Arruda, L. M.; Meleiro, L. P.; Alponti, J. S.; Machado, C. B.; Vieira, D. S.; Bonneil, E.; Furriel, R. D. P. M.; Thibault, P.; Ward, R. J.; Process Biochem. 2014, 49, 1152. [Crossref]

23. Bradstreet, R. B.; Anal. Chem. 1954, 26, 185. [Crossref]

24. Lajunen, L. H. J.; Spectrochemical Analysis by Atomic Absorption and Emission, 1st ed.; Royal Society of Chemistry: Cambridge, 1997.

25. Garcia, T. A.; Santiago, M. F.; Ulhoa, C. J.; Biotechnol. Lett. 2006, 28, 633. [Crossref]

26. Szklarz, G. D.; Antibus, R. K.; Sinsabaugh, R. L.; Linkins, A. E.; Mycologia 1989, 81, 234. [Crossref]

27. Gonçalvez, M. L. F. C.; Steiner, W.; Biotechnol Tech. 1996, 10, 667. [Crossref]

28. Mayer, A. M.; Staples, R. C.; Phytochem. Lett. 2002, 60, 551. [Crossref]

29. GraphPad Prism, version 6; GraphPad Software Inc., San Diego, USA, 2012.

30. Jennings, D. H. In Physiology of Industrial Fungi; Berry D. R., ed.; Blackwell Scientific Publication: Oxford, 1988.

31. Chhaya, U.; Gupte, A.; J. Hazard. Mater. 2013, 254, 149. [Crossref]

32. Czarny-Krzyminska, K.; Krawczyk, B.; Szczukocki, D.; Chemosphere 2023, 315, 137763. [Crossref]

33. Niu, L.; Zhang, S.; Wang, S.; An, L.; Manoli, K.; Sharma, V. K.; Yu, X.; Feng, M.; J. Hazard. Mater. 2022, 427, 128208. [Crossref]

34. Osma, J. F.; Toca, H. J. L.; Rodríguez, C. S.; Dyes Pigm. 2007, 75, 32. [Crossref]

35. Baldrian, P.; Valásková, V.; Merhautová, V.; Gabriel, J.; Res. Microbiol. 2005, 156, 670. [Crossref]

36. Bassani, E. B.; Maestri, D.; Dias, R. Q.; Ventura, J. A.; Esposti, M. D. D.; Hautequestt, E. L.; Lubiana, B. B.; XX Congresso Brasileiro de Fruticultura; Vitória, Brasil, 2008. [Link] accessed in April 2024

37. Fabrini, F. F.; Avelino, K. V.; Marim, R. A.; Cardoso, B. K.; Colauto, G. A. L.; Colauto, N. B.; Valle, J. S.; Arquivos de Ciências Veterinárias e Zoologia 2017, 19, 159. [Crossref]

38. Wang, F.; Ling, X.; Liting, Z.; Zhongyang, Z.; Haile, M.; Terry, N.; Microorganisms 2019, 7, 665. [Crossref]

39. Hongyan, L.; Zexiong, Z.; Shiwei, X.; He, X.; Yinian, Z.; Haiyun, L.; Zhongsheng, Y.; Chemosphere 2019, 224, 743. [Crossref]

40. Olajuyigbe, F. M.; Adetuyi, O. Y.; Fatokun, C. O.; Int. J. Biol. Macromol. 2019, 125, 856. [Crossref]

41. Brugnari, T.; Pereira, M. G.; Bubna, G. A.; Freitas, E. N.; Contato, A. G.; Corrêa, R. C. G.; Castoldi, R.; Souza, C. G. M.; Polizeli, M. L. T. M.; Bracht, A.; Peralta, R. M.; Sci. Total Environ. 2018, 634, 1346. [Crossref]

42. Nguyen, L. N.; Van, M. J. P.; Hai, F. I.; Leusch, F. D. L.; Kang, J.; Price, W. E.; Roddick, F.; Magram, S. F.; Nghiem, L. D.; Bioresour. Technol. 2016, 200, 477. [Crossref]

On-line version ISSN 1678-7064 Printed version ISSN 0100-4042
Qu�mica Nova
Publica��es da Sociedade Brasileira de Qu�mica
Caixa Postal: 26037 05513-970 S�o Paulo - SP
Tel/Fax: +55.11.3032.2299/+55.11.3814.3602
Free access

GN1