JBCS



12:21, sáb out 25

Acesso Aberto/TP



Artigo

Under toxic light: effects of fluorescent lamp powder on the morphological and chemical characteristics of tomato plants (Lycopersicum esculentum Miller)

Gabriela do N. CamargoI; Camila V. de FariasI; Débora F. de AndradeI; Fernanda Veronesi M. PontesI; Jéssica F. PaulinoI; Lívia G. L. SoaresII; Manuel C. CarneiroII; Rodolfo S. BarbozaI

I. Departamento de Química Analitica, Instituto de Química, Universidade Federal do Rio de Janeiro, 21941-909 Rio de Janeiro - RJ, Brasil
II. Centro de Tecnologia Mineral (CETEM), 21941-908 Rio de Janeiro - RJ, Brasil

Received: 07/05/2024
Accepted: 01/14/2025
published online: 01/31/2025

Endereço para correspondência

*e-mail: rodolfosb@iq.ufrj.br

RESUMO

Laboratory cultivation experiments were conducted under soil contamination using fluorescent lamps (50 and 100 mg kg-1 of Pb) to observe the seed germination and growth of tomatoes (Lycopersicum esculentum Miller) over 60, 90, and 120 days. The parameters selected to evaluate the impact of soil contamination on plant development included germination and survival rates, morphological characteristics such as the production of root, stem, and leaf tissues (masses), as well as changes in the chemical profile, with a focus on the polyphenolic content in the leaves. Tomato cultivation was determined to be viable, as evidenced by high germination and survival rates in soil unsuitable for traditional cultivation. Statistically significant differences in the masses of aerial parts, leaves, and stems were observed during the 120-day cultivation period when comparing plants in contaminated soil with control plants. Root masses showed no statistically significant differences throughout the entire cultivation period. In the case of tomato plants collected at 120 days, the assimilation of Cd was determined by ICP-MS (inductively coupled plasma mass spectrometry). As an adaptive response to contamination-induced stress, the tomato specimens produced 5-O-feruloylquinic acid.

Palavras-chave: Lycopersicon esculentum; tomato; fluorescent lamp; phenolic profile; plant-metal interaction.

INTRODUCTION

Potentially toxic elements (PTEs) may naturally occur in the three main compartments of the biosphere, however, the concentrations of these elements can increase in the environment due to anthropogenic actions, such as improper disposal of fluorescent lamps (FLs). Depending on the concentration of components and the physicochemical characteristics of the waste, it can become toxic and exhibit a tendency for bioaccumulation and high persistence in the ecosystem.1

Fluorescent lamps gained prominence in the market after the energy crisis of the 2000s due to their high energy efficiency, durability, and low electricity consumption compared to incandescent lamps. Currently, fluorescent lamps are being replaced by light emitting diode (LED) lamps.2,3 Despite the decrease in FLs consumption, it is still estimated that there will be a global production of 14 million units by 2025 because this material is still in demand in developing countries.3

The FLs are classified as Class I - Hazardous by ABNT/NBR 10044 due to their composition. The concentration of components in an FLs varies according to the manufacturer.5 Therefore, the FLs powder waste used in this study has already been characterized in a previous study6 by the research group, using the X-ray fluorescence (XRF) technique. Among the various metals in this complex matrix, notable elements include Mn (3588 ± 45 mg kg-1), Ni (314 ± 0 mg kg-1), Cu (160 ± 0 mg kg-1), Zn (80 ± 0 mg kg-1), and Pb (1578 ± 93 mg kg-1), as they are listed in Annex C of ABNT NBR 1004/04, which classifies substances that confer hazardous properties on the waste, designating them as potentially toxic elements (PTEs).4,6

The presence of PTEs in the soil due to contamination makes them available for uptake by plants. In this manner, exposure to these PTEs could result in significant alterations in plants at various levels, affecting their morphological, physiological, biochemical, and structural parameters.7,8 Furthermore, this may lead to the accumulation of these elements in specific plant species, causing effects on their development and metabolism, especially in secondary metabolism, which is associated with adaptive functions within their habitat.9,10

The Lycopersicum esculentum Miller (tomato) specimen is a widely consumed fruit with high nutritional value and associated health benefits.11,12 Among the various classes of secondary metabolites produced by the tomato plant, phenolic compounds stand out, including flavonoids and hydroxycinnamic acids, which are generated by both the fruit and leaves of the tomato plant.12-14

The assimilation and translocation mechanism of some metals considered PTEs by the tomato plants has been widely reported in the literature.15-23 Different contents of polyphenol and carotenoid constituents were observed in tomato plants (Solanumlycopersicum L.) grown in uncontaminated and experimentally contaminated soils with Cd, Cr, and Pb.21 However, no studies have been found that relate chemical changes to the presence of complex matrices such as fluorescent lamps in the soil. Based on numerous studies that demonstrate the influence of the environment on the production of plant secondary metabolites, this study hypothesizes that if the plants germinate and grow in the contaminated soil, it will be possible to identify chemical differentiations due to the stress to which the specimens were subjected. Additionally, the study will infer the assimilation of contaminating metals and the plant-metal interaction in biochemical/biosynthetic processes. From this perspective, the primary focus of the present study is to assess the viability of germination and cultivation of tomato specimens on FLs powder-contaminated soil, considering their environmental and economic significance, as well as the associated public health aspects. The study also aims to understand the morphological and chemical changes in the tomato specimens studied, with the goal of expanding the possibilities to produce substances of chemical, pharmacological, and/or significant economic interest.

 

EXPERIMENTAL

Cultivation soil

The cultivation of tomato specimens (Lycopersicon esculentum Miller) was conducted using commercially acquired gardening soil (CAC Comércio Atacadista Ltda®, Brazil).

For the characterization of the cultivation soil, three aliquots of 6 g each were sampled after sieving (≤ 2.0 mm) and homogenization by quartering. The samples underwent analysis using X-ray fluorescence (XRF) and energy-dispersive spectroscopy (EDS) coupled with scanning electron microscopy (SEM), in addition to organic matter analysis through thermogravimetry.

The XRF analysis was carried out utilizing an X-ray fluorescence spectrophotometer, model AxiosMax from Panalytical (Netherlands, UK), operating in standalone mode. The samples were prepared in a Fluxana VANEOX automatic press (20 mm mold, P = 20 tons, and time = 30 s), using boric acid (H3BO3) in a 1:0.3 ratio (2 g of dry sample at 105 ºC and 0.6 g of H3BO3).

The analysis employing energy dispersive X-ray spectroscopy (EDS) coupled to scanning electron microscopy (SEM) was carried out utilizing a Quanta 250 microscope equipped with a Centaurus detector and EDS detector. The instrument operated at a voltage of 20 kV and a magnification of 1,200×. Thermogravimetric analysis (26.693 mg of sample) was conducted using a TA Instruments (New Castle) apparatus, model TGA Q500 V6.7 Build 203, under an inert N2 atmosphere with a flow rate of 40.0 mL min-1 for the carrier gas and 60.0 mL min-1 for the sample. The heating range spanned from 29.18 to 695.48 ºC, with a heating rate of 10 ºC min-1. Mass loss and kinetics of manipulation (derived) results were obtained using Universal Analysis 200 v.4.2.0.38 software from TA Instruments.

The description of the cultivation soil characterization stage can be found in the Supplementary Material file.

Fluorescent lamp powder and soil contamination

The fluorescent lamp (FLs) powder was provided by a Brazilian company specializing in the treatment of this residue from various brands and batches. The residual Hg concentration was determined to be 3.0 ± 0.2 mg kg-1.6 Given the low concentration of Hg and the sample preparation procedure (“Determination of potential toxics elements assimilation" sub-section), this study did not consider Hg during the quantification of potentially toxic elements translocated to the cultivated specimens. Consequently, the levels of contamination from FLs powder were parameterized based on Pb, which, along with Cd, exhibits high cytotoxicity for plants.24

For the preparation of soil contamination, homogenization and quartering were carried out using a prismatic pile.25 Level I (50 mg kg-1 of Pb): 5400 g of soil and 174.20 g of FLs powder residue; Level II (100 mg kg-1 of Pb): 5400 g of soil and 348.41 g of FLs residue. The calculation used overestimates the concentration of Pb, considering that 1550 mg of Pb is available, ensuring that the actual concentration is below 100 mg kg-1 of Pb. According to exploratory studies, it is concluded that above this limit, plant growth was impaired. The quantity of lead was parameterized based on previous quantifications performed by the research group in the FLs powder used.6

Plant material

The tomato seeds (Lycopersicon esculentum Miller; Santa Clara variety, 99.9% purity and 80% germination rate) were purchased from TOPSEED®. Two different batches of seeds were used: the germination test and the first cultivation experiment were conducted with the batch 050302 (expiration date: February 2019); and the second cultivation experiment was conducted with the batch 082804 (expiration date: February 2024). In addition to the aforementioned information, the product packages (seeds) contained the following details: optimal cultivation period for the State of Rio de Janeiro region - March to October; soil sowing depth - 1 cm; harvesting time - 100 to 110 days after sowing.

The cultivation of Lycopersicon esculentum specimens was conducted at the Laboratory of Integration in Analytical Technology (LabITAn) at the Institute of Chemistry, UFRJ. At all stages of cultivation, tomato specimens were exposed to the same conditions of humidity, temperature, and lighting, being watered daily with identical amounts of water. Germination and survival rates were calculated using Equations 1 and 2.

Germination test of L. esculentum seeds

A total of 10 tomato seeds were added to 50 mL plastic pots containing 20.0 g of previously treated soil (non-contaminated - control and contaminated with FLs powder at levels I and II). The pots were watered daily with distilled water until complete germination (experiment concluded 30 days after sowing).

First cultivation experiment - smaller scale

For the first cultivation experiment, conducted on a small scale, 300 g (in 700 mL polypropylene vases) of previously treated soil (non-contaminated - control, and contaminated with FLs powder at levels I and II) were seeded with 30 seeds, arranged at approximately 1 cm depth. Vase watering was carried out with distilled water. This cultivation experiment was conducted in triplicate. Tomato specimens were collected after 60, 90, and 120 days from planting. After removing the plants from the plastic pots, the roots were washed with distilled water and carefully dried using absorbent paper. Subsequently, plant parts (root, stem, and leaf) were separated, and the samples were dried in an oven at 40 ºC for 72 h. The masses of the dried plant material were measured using an analytical balance. The samples were frozen with liquid nitrogen, comminuted using a mortar and pestle made of marble, and then stored in conical tubes under refrigeration. The weight data for each plant replicate parts were statistically analyzed using the Grubbs Test for outliers (α = 0.05), and the approved values were grouped into means for subsequent graphical analysis. To compare the dehydrated masses of the different parts (leaf, stem, and root) of the cultivated specimens, an analysis of variance (ANOVA) was performed with a significance level of 0.05.

Second cultivation experiment - larger scale

For the second cultivation experiment, conducted on a larger scale than the first (“First cultivation experiment - smaller scale" sub-sub-section), the cultivation of tomato specimens took place in 20 L plastic vases, where 2.0 kg of soil was added (contaminated with FLs powder at levels I and II). Subsequently, seeding was carried out by applying 300 tomato seeds, arranged at approximately 1 cm depth. Vase watering was conducted with distilled water. Tomato specimens were collected after 90 days from planting. The same sample treatment described for small-scale cultivation (“First cultivation experiment - smaller scale" sub-sub-section) was performed for plants cultivated in the second experiment, except for the comminution stage, which was carried out using an industrial processor (Model Power 2i 500W, Mondial, Brazil), and the statistical treatment, as the experiment was not conducted in triplicate.

Determination of potential toxics elements assimilation

The determination of potential toxic elements (PTEs) (Cu, Pb, Cd, Mn, Ni, and Zn) in the roots, stems, and leaves of tomato specimens cultivated for up to 120 days (in the initial cultivation experiment on a smaller scale) was conducted using inductively coupled plasma mass spectrometry (ICP-MS) (model 7700x, Agilent). The analysis was performed with a power of 1550W, a peristaltic pump speed of 0.5 rps, and helium gas in operation mode. The gas flow rates were as follows: nebulizer gas (Ar) 1.05 L min-1, plasma gas (Ar) 15.0 L min-1 and collision gas (He) 5.0 mL min-1. The data acquisition time was 100 ms, and the monitored isotopes were 55Mn, 60Ni, 63Cu, 66Zn, 111Cd and 208Pb. Accordingly, plant material (average masses: root, 95 mg; stem, 828 mg; leaf, 406 mg) (mass table in the Supplementary Material) was digested in 10 mL of concentrated nitric acid (HNO3, 65%; Sigma-Aldrich, São Paulo, Brazil), heated until dryness. Subsequently, the samples were solubilized in 5% (v/v) HNO3 and subjected to analysis. Blank assays were conducted during the sample digestion stage to minimize interferences and ensure the analytical accuracy of the method.

Extraction and partition

The dried and processed leaves of the specimens cultivated in the first cultivation experiment - smaller scale (10 mg of each batch - the experiment was performed in triplicate) (particle size was not determined) were sonically extracted at room temperature (15 min) with MeOH (UV grade, Tedia)/H2O 3:1 (v/v) (1.00 mL). Subsequently, 800 µL of the crude leaf extracts were partitioned with hexane (PA grade, Tedia) (3 × 2.00 mL), and the hydromethanolic phase evaporated under low pressure at 40 ºC to yield the crude extracts (masses were not measured as they were too small, strongly influenced by the analytical balance error). The same procedure was applied for the dried and processed roots, stems, and leaves of the specimens cultivated in the second cultivation experiment - larger scale, to verify the polyphenolic profile by thin-layer chromatography (TLC).

From the larger-scale cultivation (second experiment), a greater quantity of leaf mass was obtained. Thus, the dried and processed leaves of specimens cultivated in contaminated soil at level II (100 mg kg-1 of Pb) (2.61 g) were sonically extracted at room temperature (15 min each cycle) with MeOH/H2O 3:1 (v/v) (10 × 100 mL). MeOH was removed under low pressure at 40 ºC and the water removed by lyophilization to yield the crude extract (617.8 mg; 23.7%). The presence of polyphenolics in the extract was confirmed by TLC.

Thin-layer chromatography analyses

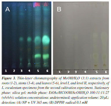
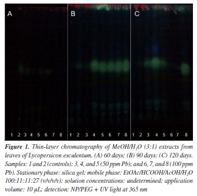
The thin-layer chromatography (TLC) analyses were performed by applying 10 µL of MeOH solutions (undefined concentration) of the samples in precoated silica-gel 60F254 (Merck, Darmstadt, Germany). The samples were manually applied with a syringe (Hamilton, ref. 80465) in 1.0 cm bands with 0.5 cm spacing between each one. The development distance was 8.5 cm. The mobile phase was composed by EtOAc/HCOOH/AcOH/H2O 100:11:11:27 (v/v/v/v) and the polyphenolic compounds were detected by bright yellow, orange, green and blue colors after derivatization with NP reagent (2-aminoethyl diphenylborinate acid; Sigma-Aldrich) (0.1% m/v in MeOH) followed by UV irradiation at 365 nm.26 For the verification of antioxidant activity, the chromatographic plates were immersed in freshly prepared 0.1% (m/v) DPPH• radical methanolic solution (1,1-diphenyl-2-picrylhydrazyl). After immersion and removal of DPPH excess, a reaction time of 5 min was expected for recording the chromatographic plates.

Solid-phase extraction

The solid-phase extraction (SPE) was performed in home-made silica gel C18 cartridges (2.5 cm e.d. × 3.9 cm bed high) (25-40 μm and C18/15%, Merck), adapted to the Vacuum Manifold. The phase (10.0 mg) was applied as a suspension in acetonitrile (ACN), with the pressure adjusted to 50 kPa below the atmospheric pressure. The mobile phase volume was adapted to 40 mL or twice the bed volume (~20 mL) and the fractions were collected in increments of 10 mL. The sample was applied on to the column adsorbed in a small amount of the stationary phase. The composition of the ACN/H2O system (elution solvents) were modulated in the volume ratios (v/v) of 5:95 (ACN5%) (Elution 1 - E1-E4), 10:90 (ACN10%) (E5-E8), 15:85 (ACN15%) (E9-E12), 20:80 (ACN20%) (E13-E16), 25:75 (ACN25%) (E17-E20), 30:70 (ACN30%) (E21-E24), 35:65 (ACN35%) (E25-E28), 50:50 (ACN50%) (E29-E32), and pure ACN (ACN100%) (E33-E36). The experiments were performed with 203.1 mg of the hydromethanolic crude extract of the leaves of the L. esculentum. The eight polyphenolic-rich fractions (target substance) (compound 1, 11.3 mg) (E7-E14) were combined, the organic solvent was removed under low pressure at 40 ºC and the water residues were freeze-dried. Compound 2 (1.9 mg) was isolated from E20 fraction.

Nuclear magnetic resonance (NMR) analyses

NMR spectra of compounds 1 and 2 were acquired in CD3OD 99.8% (Cambridge Isotope Laboratories Inc.). In the case of compound 1, a drop of D2O (Cambridge Isotope Laboratories Inc.) was added to the CD3OD solution to ensure the complete solubility of the fraction. The analyses were performed in a Varian System 500 spectrometer, using the solvent as an internal standard. Chemical shifts (d) were reported in ppm and coupling constants (J) were given in Hz.

All spectra can be found in the Supplementary Material file.

Compound 1 (5-O-feruloylquinic acid)

1H NMR (400 MHz, CD3OD) d 3.78 (1H, d, J 3.9 Hz, H-4), 5.35 (1H, td, J 10.40, 4.6 Hz, H-5), 3.56 (2H, dd, J 9.8, 3.3 Hz, H-6), 7.04 (1H, d, J 2.0 Hz, H-2'), 6.76 (1H, d, J 8.2 Hz, H-5'), 6.93 (1H, dd, J 8.2, 2.0 Hz, H-6'), 6.28 (1H, d, J 15.9 Hz, H-7'), 7.56 (1H, d, J 16.0 Hz, H-8'), 3.74 (3H, s, H-10'); 13C (HSQC, 400 MHz, CD3OD) d 126.5 (C-1'), 114.1 (C-8'), 168.5 (C-9'), 56.2 (C-10'). The data are fully consistent with those previously reported.27,28

Compound 2 (rutin)

1H NMR (CD3OD, 500 MHz) d 6.24 (1H, d, J 2.1 Hz, 1H-6), 6.43 (1H, d, J 2.1 Hz, H-8), 7.68 (1H, d, J 2.1 Hz, H-2'), 6.90 (1H, d, J 8.5 Hz, H-5'), 7.64 (1H, dd, J 8.5, 2.2 Hz, H-6'), 5.11 (1H, d, J 7.7 Hz , H-1"), 4.53 (1H, d, J 1.7 Hz, H-1'''), 1.13 (3H, d, J 6.2 Hz, CH3); 13C (HSQC, 500 MHz, CD3OD) d 98.6 (C-6), 93.5 (C-8), 122.3 (C-1'), 116.3 (C-2'), 144.5 (C-3'), 148.5 (C-4'), 114.8 (C-5'), 122.2 (C-6'), 103.0 (C-1"), 100.6 (C-1'''). The data are fully consistent with those previously reported.13

 

RESULTS AND DISCUSSION

In previous studies conducted by the research group,29 a negative influence, primarily of the metals Pb and Cd, was observed at concentrations between 25-100 mg per kg of soil during the seed germination stage of L. esculentum, rendering it impractical to investigate the influence of these metals on the development of plants of the mentioned species from the germination stage. However, since the availability of metals in the FLs powder depends on their form in the residue, the present study focused on investigating the germination viability (germination test) in soils contaminated with FLs powder at concentrations nominally set at 50 and 100 mg kg-1 of Pb, labeled as levels I and II, respectively. As a control against normal cultivation conditions, i.e., without FLs powder contamination, negative control was conducted (cultivation in uncontaminated soil). The potentially toxic metals from the fluorescent lamp powder in the cultivation soil were not detected through SEM/EDS and XRF techniques (Supplementary Material). The total organic carbon content (TOC, %) was determined by thermogravimetry at 2.61%,30 (Supplementary Material).

The preliminary stage of assessing the germination viability of L. esculentum seeds in contaminated soil revealed that the presence of FLs powder in the cultivation soil did not pose a hindrance, considering the similarities in germination time and morphological aspects of the specimens. Although the calculated germination rates were lower than expected based on seed specifications (germination rate equal to 80%), this behavior could not be solely attributed to FLs powder contamination. This is evident as the observed germination rates were lower for the replicates of the control plants (23%) compared to the contaminated plants (53 and 60% for levels I and II, respectively). It is noteworthy in this case that the primary matrix of FLs powder is composed of phosphates, which, in turn, may have influenced the higher germination rates calculated for the two contamination levels.

As commercial seed specifications for L. esculentum indicated a harvest time of 100 to 110 days after sowing, the study proceeded with the cultivation of tomato specimens under the three aforementioned conditions for durations of 60, 90, and 120 days. However, the development of flowers and fruits was not observed in specimens cultivated up to 120 days, and this phenomenon could not be attributed to contamination, as the negative control exhibited the same behavior.

Regarding germination rates (23, 34, and 32% for the control, level I, and level II, respectively) and survival (100% for all cultivation media) of tomato specimens, the values were similar to those observed in the germination test. The morphological analysis of the plants, assessed through the dry plant masses per surviving specimen (mg s.s.-1), did not show statistical differences between specimens cultivated in contaminated and uncontaminated soils at 60 and 90 days. At 120 days, a statistical difference was observed between specimens cultivated in different types of soils - uncontaminated and contaminated soils (Table 1). Possibly, a longer contact time with FLs powder led to atrophy in the above ground parts of the specimens. The roots did not show significant differences. Under none of the cultivation conditions did flowering and fruiting occur, suggesting that soil mass and the laboratory atmosphere were contributing factors to this behavior.

 

 

The obtained results revealed the assimilation of Cd to the tomato specimens (Table 2), which is considered toxic to plants at concentrations between 75 and 100 mg kg-1.25 In the case of Mn, Cu, and Zn, which are considered micronutrients at relatively high concentration ranges compared to those found in this study,25 an increase in Mn and Cu concentrations was observed, primarily in the plant roots, while for Zn, only a trend toward increased concentration in tomato specimens cultivated in soil contaminated with the highest tested concentration (100 mg kg-1 of Pb - level II) was noted. However, the assimilation of Pb, also a metal considered toxic to plants in the concentration range of 100 to 400 mg kg-1,25 was not observed. De Farias et al.6 designate the first two fractions (exchangeable ions and weak acid) of the Tessier sequential extraction protocol as the potentially bioavailable fraction (PBF), as under these conditions, metals can be easily leached into the environment. The sequence of availability and mobility of PTEs present in FLs powder in these fractions is: Cu (47%) > Zn (30%) > Cd (22%) > Ni (21%) > Mn (1.4%) > Pb (0.39%) > Hg (0.35%).6 The mobility of Pb is not as significant as that of Cd, which could justify the absence of Pb assimilation by the specimen in this study.

 

 

Nevertheless, regardless of concentration, the mere assimilation of metals can be considered a differentiating factor for tomato specimens cultivated under soil contamination conditions by FLs powder compared to control plants. This is due to the oxidative stress caused by the presence of these metals in the plant organisms under study, which may have relevance for implications in their metabolic pathways in all plant parts (roots, stems, and leaves). The metals were found throughout the extent of the tomato specimens, indicating the possibilities of translocation of these metals. Additionally, although the present study did not verify the presence of metals in the fruits due to non-fruiting, the possibility that soil contamination by FLs powder could be a factor in human contamination in nature, even under controlled cultivation conditions by tomato producers, cannot be ruled out. The presence of metals in all parts of the laboratory-cultivated specimens suggests the translocation of metals to the fruit, as reported in the literature.16,17,31

Considering the potential metabolic changes induced by metal assimilation, primarily Cd (Table 2), MeOH/H2O extracts (3:1 v/v) from the leaves of L. esculentum specimens were analyzed using TLC. This analysis revealed a differentiation in the production of phenolic substances, with the synthesis of a substance (yellow-green band under NP-UV 365 nm) whose concentration was significantly increased in plants cultivated in contaminated soil. The antioxidant activity of this substance was prominently demonstrated by its reaction with the DPPH• radical, consistent with an adaptive response of plants to oxidative stress caused by the contamination factor (Figures 1 and 2).

 

 

 

 

It is important to emphasize that the extraction, partitioning, and TLC analysis steps of the leaf extracts from all the specimens studied were conducted in the same manner, including the use of identical mass and volumetric quantities, as well as the volume applied to the chromatographic plates. This ensures the feasibility of discussing the relative quantities of each substance present in their chemical profiles as revealed by the chromatographic analysis.

The cultivation time proved to be a determining factor in the production of the investigated substance, with low production observed at the 60-day cultivation time. On the other hand, the contamination level was only relevant for specimens cultivated up to 120 days, where a “homogeneity" of response was not observed. In other words, chromatographic plates exhibited bands with different intensities, indicating distinct concentrations. Consequently, aiming for a larger mass of plant material and/or extract and to ensure the reproducibility of the observed metabolic changes, it was decided to cultivate tomato specimens on a larger scale for a 90-day period under the same contamination conditions. The tomato specimens developed similarly to the previous experiment, showing structural normality and healthiness, with no significant differences observed between the cultivation conditions.

The germination rates (37 and 46%, levels I and II, respectively) and survival rates (91 and 83%, levels I and II, respectively) calculated for the larger-scale cultivation were like those observed for the smaller-scale cultivation, suggesting good reproducibility of the experiment in this aspect, considering that the seeds used were from a different batch. Regarding the yield of plant biomass (level I - root: 4.5 g s.s.-1; stem: 34.3 g s.s.-1; leaves: 35.8 g s.s.-1; level II - root: 3.0 g s.s.-1; stem: 39.2 g s.s.-1; leaves: 22.8 g s.s.-1; where g s.s-1: mass in g of plant material (roots, stems, and leaves) per surviving specimen), a decrease in the amounts of leaf and stem tissues was observed with increasing contamination levels, as observed in the first cultivation experiment for specimens with 120 days. This decrease was not observed for specimens with 90 days in the first cultivation experiment (on a smaller scale); however, it should be noted that the sample size of the second experiment was increased by 10 times, with the sowing of 300 seeds. Thus, the increased perception of the decrease in leaf and stem masses was attributed to the larger number of individuals.

The chromatographic profile of phenolic substances from specimens cultivated in the second experiment (Figure 3) highlighted the good reproducibility of the cultivation method, considering the production of the detected phenolic substance in plants grown in contaminated soil. Additionally, the analysis of hydro-methanolic extracts from the roots and stems of tomato specimens revealed the presence of the mentioned substance in smaller quantities in the stems of species cultivated under contamination, with its absence in the roots.

 

 

From the leaves of L. esculentum specimens cultivated under contamination at level II (2.61 g), the MeOH/H2O extract (3:1 v/v) was obtained (617.8 mg; yield of 23.7%), whose mass of 203.1 mg was subjected to solid-phase extraction technique, yielding a fraction enriched in the substance produced under contamination conditions (11.3 mg; 5.6%).

The analysis of 1H NMR spectra (Figure 3S, Supplementary Material) and COSY correlations (Figures 7S and 8S, Supplementary Material) revealed the presence of two doublets at dH 6.28 ppm (J 15.9 Hz) and 7.56 ppm (J 16.0 Hz), indicative of olefinic hydrogens with trans- configuration and α, β to the carbonyl. Signals at dH 7.04 (d, J 2.0 Hz), dH 6.93 (dd, J 2.0 and 8.2 Hz). and dH 6.76 ppm (d, J 8.2 Hz) suggested the presence of a trisubstituted aromatic ring. Thus, a trans-alkene system of C6-C3 aromatic derivatives was proposed. These data led to the investigation of secondary metabolites present in the species under study, with chemical structures that exhibited the mentioned system, culminating in the suspicion that it was a derivative of quinic acid and hydroxycinnamic acids (or trans-cinnamic acids). The esterification of one or more hydroxylated sites of quinic acid with trans-cinnamic acids (cinnamic, coumaric, caffeic, ferulic, and dimethoxycinnamic) results in a class of secondary metabolites called chlorogenic acids.32 This implies the formation of a series of positional isomers for each trans-cinnamic acid. Normally, a plant contains the entire series of positional isomers of a particular acid, except for derivatives with esterification at position 1 of quinic acid, which are relatively rare. Therefore, many plants produce only derivatives with esterifications at positions 3, 4, and 5.33

The presence of oxy-methylene hydrogen at dH 5.35 ppm (td, J 4.6 and 10.4 Hz), with a splitting pattern (triplet of doublets) and coupling constant values suggesting vicinal couplings (3J) in six-membered carbon cycles (as observed in quinic acid), characteristic of axial-axial (two correlations) and axial-equatorial (one correlation) couplings34 (Figure 4), led us to hypothesize that the substance under analysis was a derivative of substituted quinic acid at position C-5, with H-5 in an axial position.

 

 

In a corroborative manner, correlations were observed in the COSY spectrum between the hydrogen at dH 5.35 ppm and hydrogens whose signals showed shifts at dH 3.56 (dd, J 3.1 and 9.8 Hz) and 3.78 ppm (d, J 3.9 Hz), where the couplings around 10 Hz were assigned to the couplings H-5 and H-6 (J5axial,6axial). H-5 and H-4 (J5axial,4axial), and around 4 Hz to the coupling between H-5 and H-6 (J5axial,6equatorial) (Figure 5).

 

 

In the HMBC contour map (Figure 11S, Supplementary Material), a correlation was observed between H-8' (dH 6.28 ppm) and the carbon at dC 126.5 ppm (C-1'), confirming the linkage of the olefinic system to the aromatic ring. Furthermore, correlations were observed between H-7' and the carbons at dC 114.1 ppm (C-8' - alpha carbon to the carbonyl) and dC 168.5 ppm (C-9' - carbonyl). The presence of a singlet at dH 3.74 ppm, with an absolute area greater than the signals at dH 5.35 and 6.28 ppm (characteristic of a single hydrogen), suggested the presence of a methoxy group, supported by the observation of a direct correlation with the carbon at dC 56.2 ppm in the HSQC correlation spectrum (Figure 10S, Supplementary Material). Thus, it was suggested that the substance under analysis had, as a substituent at position C-5 of quinic acid, a unit of the hydroxycinnamic acid called ferulic acid.

The analysis of the fraction by mass spectrometry revealed the presence of a major substance, where it was possible to observe in the mass spectrum (data not shown), obtained in positive mode, the [M + H]+ ion at m/z 369, consistent with that of 5-O-feruloylquinic acid.27,28

 

CONCLUSIONS

The results obtained in this study highlighted the influence of soil contamination by fluorescent lamp powder on plants of the species Lycopersicon esculentum, due to the assimilation and translocation (to all parts of the studied specimens - roots, stems, and leaves) of potentially toxic elements (PTEs) present in the residue used as a contamination factor. Furthermore, despite the observation of minor morphological changes influencing the mass yields of plant material, no impacts were observed on the germination rates and survival of L. esculentum specimens. However, the synthesis of 5-O-feruloylquinic acid by specimens grown in contaminated soil indicated an adaptive response to oxidative stress induced by the assimilation of PTEs. Taken together, these results underscore the complexity of interactions between plants and contaminants in the environment due to anthropogenic actions, emphasizing the importance of understanding the impacts of these conditions on the health and development of plant species.

 

SUPPLEMENTARY MATERIAL

Supplementary explanation and data are available free of charge at http://quimicanova.sbq.org.br/ as a PDF file.

 

ACKNOWLEDGMENTS

The authors would like to thank Centro de Tecnologia Mineral (CETEM), specially the Coordenação de Análises Minerais (COAM) and Laboratório de Especiação de Mercúrio Ambiental (LEMA); Laboratório de Produtos Naturais (LAPNA); Laboratório Multiusuário de Análises por RMN (LAMAR); Dr. Roberto P. Cucinelli Neto for his support in the thermogravimetric analysis; Departamento de Métodos Analíticos de Farmanguinhos (Fiocruz/RJ) for the support and technical assistance during this project. The authors also would like to thank Coordenação de Aperfeiçoamento de Pessoal de Nível Superior (CAPES) for the financial support. This work was supported by the Universidade Federal do Rio de Janeiro (ALV2020/PR1).

REFERENCES

1. Shahid, M.; Dumat, C.; Khalid, S.; Schreck, E.; Xiong, T.; Niazi, N. K.; J. Hazard. Mater. 2017, 325, 36. [Crossref]

2. Leopoldino, C. C. L.; de Mendonça, F. M.; Siqueira, P. H. L.; Borba, É. L.; J. Cleaner Prod. 2019, 233, 1486. [Crossref]

3. Viana, L. N.; Soares, A. P. S.; Guimarães, D. L.; Rojano, W. J. S.; Saint'pierre, T. D.; J. Environ. Chem. Eng. 2022, 10, 108915. [Crossref]

4. Associação Brasileira de Normas Técnicas (ABNT); ABNT NBR 10004:2004: Resíduos Sólidos - Classificação; ABNT: Rio de Janeiro, 2004. [Link] accessed in January 2025

5. Back, S.-K.; Joung, B.-M.; Lee, E.-S.; Sung, J.-H.; Mojammal, A. H. M.; Park, Y.-J.; Seo, Y.-C.; J. Hazard. Mater. 2022, 382, 121094. [Crossref]

6. de Farias, C. V.; Paulino, J. F.; Barcelos, D. A.; Rodrigues, A. P. C.; Pontes, F. V. M.; Chemosphere 2020, 261, 128107. [Crossref]

7. Ali, B.; Gill, R. A.; Yang, S.; Gill, M. B.; Farooq, M. A.; Liu, D.; Daud, M. K.; Ali, S.; Zhou, W.; PLoS One 2015, 10, e0123328. [Crossref]

8. Zhou, J.; Wan, H.; He, J.; Lyu, D.; Li, H.; Front. Plant Sci. 2017, 8, 966. [Crossref]

9. Borges, K. L. R.; Salvato, F.; Alcântara, B. K.; Nalin, R. S.; Piotto, F. Â.; Azevedo, R. A.; Ecotoxicology 2018, 27, 245. [Crossref]

10. de Carvalho, A. V. S.; Carvalho, R.; de Abreu, M. P.; Furtini Neto, A. E.; Quim. Nova 2008, 31, 949. [Crossref]

11. Bhowmik, D.; Kumar, K. P. S.; Paswan, S.; Srivastava, S.; J. Pharmacogn. Phytochem. 2012, 1, 33. [Link] accessed in January 2025

12. Slimestad, R.; Verheul, M.; J. Sci. Food Agric. 2009, 89, 1255. [Crossref]

13. Fathy, F. I.; Shabana, M. M.; Mansour, H. A.; Sabry, M. M.; Pharmacogn. J. 2021, 13, 1019. [Crossref]

14. Ferreres, F.; Taveira, M.; Gil-Izquierdo, A.; Oliveira, L.; Teixeira, T.; Valentão, P.; Simões, N.; Andrade, P. B.; Rapid Commun. Mass Spectrom. 2011, 25, 1972. [Crossref]

15. Al-Lahham, O.; El Assi, N. M.; Fayyad, M.; Sci. Hortic. 2007, 113, 250. [Crossref]

16. Badiaa, O.; Yssaad, H. A. R.; Topcuoglu, B.; Plant Archives 2020, 20, 2125. [Link] accessed in January 2025

17. Kısa, D.; Russ. J. Plant Physiol. 2017, 64, 876. [Crossref]

18. Mami, Y.; Ahmadi, G.; Shahmoradi, M.; Ghorbani, H. R.; Afr. J. Environ. Sci. Technol. 2011, 5, 420. [Link] accessed in January 2025

19. Meena, M.; Aamir, M.; Kumar, V.; Swapnil, P.; Upadhyay, R. S.; Environ. Exp. Bot. 2018, 148, 144. [Crossref]

20. Opeolu, B. O.; Adenuga, O. O.; Ndakidemi, P. A.; Olujimi, O. O.; Int. J. Phys. Sci. 2010, 5, 068. [Link] accessed in January 2025

21. Russo, C.; Barone, D.; Lavorgna, M.; Piscitelli, C.; Macaluso, M.; Pacifico, S.; Piccolella, S.; Giordano, A.; Isidori, M.; Sci. Rep. 2022, 12, 13024. [Crossref]

22. Schiavon, M.; dall'Acqua, S.; Mietto, A.; Pilon-Smits, E. A. H.; Sambo, P.; Masi, A.; Malagoli, M.; J. Agric. Food Chem. 2013, 61, 10542. [Crossref]

23. Trebolazabala, J.; Maguregui, M.; Morillas, H.; García-Fernandez, Z.; de Diego, A.; Madariaga, J. M.; J. Food Compos. Anal. 2017, 59, 161. [Crossref]

24. Paterniani, E.; Ciência, Agricultura e Sociedade, 1st ed.; Wiley: Brasília, 2006.

25. Goes, M. A. C.; da Luz, A. B.; Possa, M. V.; Tratamento de Minérios, 5th ed.; Wiley: Rio de Janeiro, 2010.

26. Wagner, H.; Bladt, S.; Plant Drug Analysis: A Thin Layer Chromatography; Wiley: Berlin, 1996.

27. Lira, T. O.: Perfil Metabólico de Duas Variedades Transgênicas de Cana-de-Açúcar Modificadas com os Genes Inibidores de Proteinase Bowman-Birk e Kunitz; Tese de Doutorado, Universidade de São Paulo, Brasil, 2010. [Link] accessed in January 2025

28. Iwai, K.; Kishimoto, N.; Kakino, Y.; Mochida, K.; Fujita, T.; J. Agric. Food Chem. 2004, 52, 4893. [Crossref]

29. Mesquita, T. L.; Curti, M. V.; de Paula, C. E. R.; Barboza, R. S.; Anais da 42º Reunião Anual da Sociedade Brasileira de Química; Joinville, Brasil, 2019. [Link] accessed in January 2025

30. Pallasser, R.; Minasny, B.; McBratney, A. B.; PeerJ 2013, 1, 6. [Crossref]

31. Rady, M. M.; Osman, A. Sh.; Afr. J. Agric. Res. 2012, 7, 3249. [Crossref]

32. Moreira, E. A.: Análise da Variação na Concentração dos Ácidos Clorogênicos Diante de Diferentes Tratamentos Pós-Coleta; Dissertação de Mestrado, Universidade de São Paulo, Brasil, 2017. [Link] accessed in January 2025

33. Gobbo-Neto, L.; Lopes, N. P.; Quim. Nova 2007, 30, 374. [Crossref]

34. Pinto, L. S.: Fenilpropanoides de Paspalum atratum; Dissertação de Mestrado, Universidade Estadual Paulista, Brasil, 2015. [Link] accessed in January 2025

 

Associate Editor handled this article: Eduardo M. Richter

On-line version ISSN 1678-7064 Printed version ISSN 0100-4042
Qu�mica Nova
Publica��es da Sociedade Brasileira de Qu�mica
Caixa Postal: 26037 05513-970 S�o Paulo - SP
Tel/Fax: +55.11.3032.2299/+55.11.3814.3602
Free access

GN1